
Anti-beta Tubulin Mouse mAb
- 50 μL
Product Information
| Description | beta Tubulin mouse monoclonal |
| Protein full name |
Tubulin beta chain |
|
Synonyms |
TUBB, CDCBM6, M40, OK/SW-cl.56, TUBB1, TUBB5, CSCSC1, tubulin beta class I,Tubulin Beta-5 Chain |
| Immunogen |
KLH conjugated Synthetic peptide corresponding to human β- tubulin |
| Isotype | IgG |
| Purity | Affinity purification |
|
Predicted MW. |
55 kDa |
|
Observed MW. |
55 kDa |
| Subcellular location |
Cytoplasm |
| Uniprot ID |
Applications
Applications | Species | Dilution | Positive Tissue |
WB | Human, Mouse, Rat | 1: 2000-1: 5000 | Brain,lung,Hela,HepG2,A549 |
IHC | Human, Mouse, Rat | 1: 1000-1: 2000 | Kidney,liver cancer,esophageal cancer |
IF | Human, Mouse, Rat | 1: 1000-1: 2000 | Kidney,liver cancer,esophageal cancer |
Background
Tubulin is the major constituent of microtubules. It binds two moles of GTP, one at an exchangeable site on the beta chain and one at a non-exchangeable site on the alpha chain.
Images
![]() |
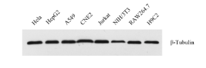
Western blot analysis of β- tubulin (GB13017-2) at dilution of 1:2000. Lane 1:Hela cell lysate Lane 2:HepG2 cell lysate Lane 3:A549 cell lysate Lane 4:CNE2 cell lysate Lane 5:Jurkat cell lysate Lane 6:NIH/3T3 cell lysate Lane 7:Raw264.7 cell lysate Lane 8:H9C2 cell lysate |
|
|
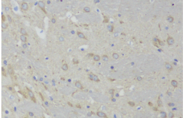
Immunohistochemistry analysis of paraffin-embedded rat brain using β- tubulin (GB13017-2) at dilution of 1:1000 |
![]() |
Immunofluorescence analysis of paraffin-embedded human esophageal cancer using β- tubulin (GB13017-2) at dilution of 1:1000 |
Storage
| Storage | Store at -20 ℃ for one year. Avoid repeated freeze/ thaw cycles. |
| Storage Buffer | PBS with 0.02% sodium azide, 100 μg/ml BSA and 50% glycerol. |
NOTE:
1.This product is intended for research only.
2.This product is recommended to dilute with the Primary Antibody Dilution Buffer (G2025).
| 货号 | 名称 | 规格 | 价格 | 操作 |
|---|
| 货号 | 名称 | 规格 | 价格 | 操作 |
|---|





