
Anti-SRP54 Rabbit pAb
- 50 μL
产品信息
|
蛋白质全称 |
信号识别颗粒54kDa |
|
别名 |
SRP54 |
|
Uniprot ID |
P14576 |
|
免疫原 |
小鼠SRP54重组蛋白 |
|
抗体亚型 |
IgG |
|
纯化方式 |
亲和纯化 |
|
亚细胞定位 |
细胞核 |
应用
| 应用 | 物种 | 稀释 | 阳性样品 |
| IHC/IF 免疫组织化学/免疫荧光 | 大鼠 | 1: 1000-1: 2000 | 甲状腺 |
背景
The signal recognition particle (SRP) is a ribonucleoprotein complex that mediates the targeting of proteins to the endoplasmic reticulum (ER). The complex consists of a 7S (or 7SL) RNA and 6 different proteins, and signal recognition particle 54 (SRP54) is one of them. SRP54 binds to the signal sequence of presecretory protein as they emerge from the translating ribosomes, and then transfers them to translocating chain-associating membrane protein (TRAM).
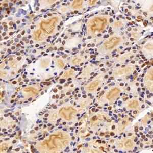
图像
|
|
IHC检测SRP54蛋白(货号 GB114144). 样品: 大鼠甲状腺, 4%多聚甲醛 (货号G1101) 固定12-24小时. 抗原修复: 柠檬酸抗原修复液(干粉, pH 6.0) (G1201), 98℃, 20分钟. —抗: 1: 1000稀释, 4℃ 孵育过夜. 二抗: HRP标记山羊抗兔IgG (H+L) (货号GB23303), 1: 200稀释, 室温孵育1小时. |
|
|
IF检测SRP54蛋白(货号 GB114144)(红色). 样品: 大鼠甲状腺, 4%多聚甲醛 (货号G1101) 固定12-24小时. 抗原修复: Tris-EDTA抗原修复液(pH 9.0) (G1203), 98℃, 20分钟. 封闭: 3% BSA(货号GC305010)的PBS溶液, 室温孵育30分钟. —抗: 1: 1000稀释, 4℃ 孵育过夜. 二抗: Cy3标记山羊抗兔IgG (H+L) (货号GB21303), 1: 300稀释, 室温孵育1小时. |
储存
| 储存条件 | 在-20℃下储存一年, 避免反复冻融. |
| 储存缓冲液 | 含0.15% ProClin300防腐剂, 100 μg/mL牛血清白蛋白和50%甘油的磷酸盐缓冲液. |
注意:
1.本产品仅供研究使用.
2.建议用一抗稀释液(G2025)稀释本产品.
| 货号 | 名称 | 规格 | 价格 | 操作 |
|---|
| 货号 | 名称 | 规格 | 价格 | 操作 |
|---|

