
Anti-LZTR2 Rabbit pAb
- 100 μL
产品信息
|
蛋白质全称 |
蛋白转运蛋白Sec16B |
|
别名 |
SEC16B, SEC16S, RGPR, LZTR 2, RGPR-p117 |
|
Uniprot ID |
Q91XT4 |
|
免疫原 |
KLH偶联的小鼠LZTR2合成肽 |
|
抗体亚型 |
IgG |
|
纯化方式 |
亲和纯化 |
|
亚细胞定位 |
内质网膜, 高尔基体膜 |
应用
| 应用 | 物种 | 稀释 | 阳性样品 |
| IHC/IF 免疫组织化学/免疫荧光 | 人 | 1: 500-1: 1500 | 胃, 结肠 |
背景
Plays a role in the organization of the endoplasmic reticulum exit sites (ERES), also known as transitional endoplasmic reticulum (tER). Required for secretory cargo traffic from the endoplasmic reticulum to the Golgi apparatus. Involved in peroxisome biogenesis. Regulates the transport of peroxisomal biogenesis factors PEX3 and PEX16 from the ER to peroxisomes.
图像
|
|
IHC检测LZTR2蛋白(货号 GB115344). 样品: 人胃, 4%多聚甲醛 (货号G1101) 固定12-24小时. 抗原修复: Tris-EDTA抗原修复液(pH 9.0) (G1203), 98℃, 20分钟. —抗: 1: 1000稀释, 4℃ 孵育过夜. 二抗: HRP标记山羊抗兔IgG (H+L) (货号GB23303), 1: 200稀释, 室温孵育1小时. |
|
|
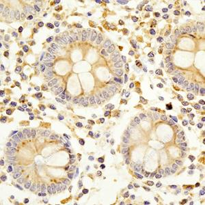
IHC检测LZTR2蛋白(货号 GB115344). 样品: 人结肠, 4%多聚甲醛 (货号G1101) 固定12-24小时. 抗原修复: Tris-EDTA抗原修复液(pH 9.0) (G1203), 98℃, 20分钟. —抗: 1: 1000稀释, 4℃ 孵育过夜. 二抗: HRP标记山羊抗兔IgG (H+L) (货号GB23303), 1: 200稀释, 室温孵育1小时. |
储存
| 储存条件 | 在-20℃下储存一年, 避免反复冻融. |
| 储存缓冲液 | 含0.15% ProClin300防腐剂, 100 μg/mL牛血清白蛋白和50%甘油的磷酸盐缓冲液. |
注意:
1.本产品仅供研究使用.
2.建议用一抗稀释液(G2025)稀释本产品.
| 货号 | 名称 | 规格 | 价格 | 操作 |
|---|
| 货号 | 名称 | 规格 | 价格 | 操作 |
|---|

