
Anti-MLLT11 Rabbit pAb
¥950
货号:YB113571-50
品牌:YIKE
规格:
- 50 μL
数量:
产品信息
|
蛋白质全称 |
AF1q癌蛋白 |
|
别名 |
AF1Q, C1orf56, MENT, MLLT11, RP11316M1.9, ALL1 fused gene from chromosome 1q |
|
Uniprot ID |
P97783 |
|
免疫原 |
小鼠MLLT11重组蛋白 |
|
抗体亚型 |
IgG |
|
纯化方式 |
亲和纯化 |
|
亚细胞定位 |
细胞质, 细胞骨架, 细胞核 |
应用
| 应用 | 物种 | 稀释 | 阳性样品 |
| IHC/IF 免疫组织化学/免疫荧光 | 小鼠, 大鼠 | 1: 2000-1: 4000 | 胸腺 |
背景
C1orf56, also named as MENT, AF1Q and MLLT11, is involved in control of cellular proliferation. It is extreme expressed in several cancers especially in neuroblastoma. We detected the endogenous protein 35 kDa in mouse testis. We also get a 65 kDa which is unknown.
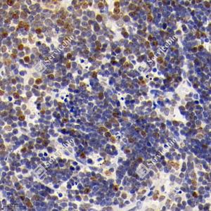
图像
|
|
IHC检测MLLT11蛋白(货号 GB113560). 样品: 小鼠胸腺, 4%多聚甲醛 (货号G1101) 固定12-24小时. 抗原修复: 柠檬酸抗原修复液(干粉, pH 6.0) (G1201), 98℃, 20分钟. —抗: 1: 2000稀释, 4℃ 孵育过夜. 二抗: HRP标记山羊抗兔IgG (H+L) (货号GB23303), 1: 200稀释, 室温孵育1小时. |
|
|
IHC检测MLLT11蛋白(货号 GB113560). 样品: 大鼠胸腺, 4%多聚甲醛 (货号G1101) 固定12-24小时. 抗原修复: 柠檬酸抗原修复液(干粉, pH 6.0) (G1201), 98℃, 20分钟. —抗: 1: 2000稀释, 4℃ 孵育过夜. 二抗: HRP标记山羊抗兔IgG (H+L) (货号GB23303), 1: 200稀释, 室温孵育1小时. |
储存
| 储存条件 | 在-20℃下储存一年, 避免反复冻融. |
| 储存缓冲液 | 含0.15% ProClin300防腐剂, 100 μg/mL牛血清白蛋白和50%甘油的磷酸盐缓冲液. |
注意:
1.本产品仅供研究使用.
2.建议用一抗稀释液(G2025)稀释本产品.
服务推荐
| 货号 | 名称 | 规格 | 价格 | 操作 |
|---|
产品推荐
| 货号 | 名称 | 规格 | 价格 | 操作 |
|---|

