
Anti-CD4 Rabbit pAb
- 100 μL
Product Information
| Description |
CD4 rabbit polyclonal antibody |
| Protein full name | T-cell surface glycoprotein CD4 |
|
Synonyms |
CD4, CD4mut, CD4 molecule |
| Immunogen | Recombinant protein corresponding to Mouse CD4 |
| Isotype | IgG |
| Purity | Affinity purification |
| Subcellular location |
Cell membrane |
| Uniprot ID | P06332,P01730 |
Applications
Applications | Species | Dilution | Positive Sample |
IHC/IF | Human, Rat | 1: 400-1: 3000 | lymph node, spleen, tonsil |
Background
This gene encodes a membrane glycoprotein of T lymphocytes that interacts with major histocompatibility complex class II antigenes and is also a receptor for the human immunodeficiency virus. This gene is expressed not only in T lymphocytes, but also in B cells, macrophages, and granulocytes. It is also expressed in specific regions of the brain. The protein functions to initiate or augment the early phase of T-cell activation, and may function as an important mediator of indirect neuronal damage in infectious and immune-mediated diseases of the central nervous system.
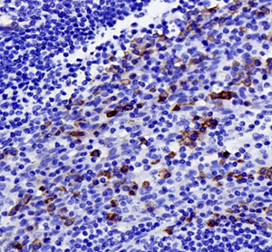
Images
|
|
Immunohistochemistry of paraffin embedded human tonsil using CD4 (GB11064-1) at dilution of 1:2000 (400x lens) |
![]() | Immunofluorescence of paraffin embedded human tonsil using CD4 (GB11064-1) at dilution of 1:200 (400x lens) |
![]() | Immunofluorescence of paraffin embedded rat lymph node using CD4 (GB11064-1) at dilution of 1:200 (400x lens) |
![]() |
Immunofluorescence of paraffin embedded rat spleen using CD4 (GB11064-1) at dilution of 1:200 (400x lens) |
Storage
| Storage | Store at -20 ℃ for one year. Avoid repeated freeze/ thaw cycles. |
| Storage Buffer | PBS with 0.02% sodium azide, 100 μg/ml BSA and 50% glycerol. |
NOTE:
1.This product is intended for research only.
2.This product is recommended to dilute with the Primary Antibody Dilution Buffer (G2025).
| 货号 | 名称 | 规格 | 价格 | 操作 |
|---|
| 货号 | 名称 | 规格 | 价格 | 操作 |
|---|









