
Anti-CD4 Mouse mAb
- 50 μL
Product Information
| Description |
CD4 mouse monoclonal |
| Protein full name |
T-cell surface glycoprotein CD4 |
|
Synonyms |
CD4, CD4mut, CD4 molecule |
| Immunogen |
Recombinant protein corresponding to human CD4 |
| Isotype | IgG |
| Purity | Affinity purification |
| Subcellular location |
Plasma membrane |
| Uniprot ID | P01730 |
Applications
Applications | Species | Dilution | Positive Tissue |
IHC | Human | 1:50-1:200 | Tonsil, spleen |
IF | Human | 1:50-1:100 | Tonsil, spleen |
Background
CD4+ T helper cells are white blood cells that are an essential part of the human immune system. They are often referred to as CD4 cells, T-helper cells or T4 cells. They are called helper cells because one of their main roles is to send signals to other types of immune cells, including CD8 killer cells, which then destroy the infectious particle. If CD4 cells become depleted, for example in untreated HIV infection, or following immune suppression prior to a transplant, the body is left vulnerable to a wide range of infections that it would otherwise have been able to fight.
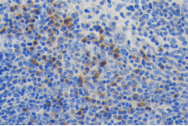
Images
![]() |
Immunohistochemistry analysis of paraffin-embedded human cancer using CD4 (GB13064-1) at dilution of 1:100 |
Storage
| Storage | Store at 4 ℃ for one year. Avoid repeated freeze/ thaw cycles. |
| Storage Buffer | PBS with 0.02% sodium azide, 100 μg/ml BSA and 50% glycerol. |
NOTE:
1.This product is intended for research only.
2.This product is recommended to dilute with the Primary Antibody Dilution Buffer (G2025).
| 货号 | 名称 | 规格 | 价格 | 操作 |
|---|
| 货号 | 名称 | 规格 | 价格 | 操作 |
|---|

