
Anti-CD8 alpha Rabbit pAb
- 100 μL
Product Information
Protein full name | T-cell surface glycoprotein CD8 alpha chain |
Synonyms | T-lymphocyte differentiation antigen T8/Leu-2, CD8a, MAL, Leu2, Leu2 T lymphocyte antigen, Ly 35, LYT3, p32, T8 T cell antigen, CD8A, CD8, Leu2, p32, CD8a molecule, CD8 alpha |
Immunogen | KLH conjugated Synthetic peptide corresponding to Mouse CD8 alpha |
Uniprot ID | P01731 |
Isotype | IgG |
Purity | Affinity purification |
Subcellular location | Cell membrane |
Applications
Applications | Species | Dilution | Positive Sample |
IHC/IF | Human, Mouse | 1: 200-1: 1000 | bone, spleen, thymus, tonsil |
Background
Integral membrane glycoprotein that plays an essential role in the immune response and serves multiple functions in responses against both external and internal offenses. In T-cells, functions primarily as a coreceptor for MHC class I molecule:peptide complex. The antigens presented by class I peptides are derived from cytosolic proteins while class II derived from extracellular proteins. Interacts simultaneously with the T-cell receptor (TCR) and the MHC class I proteins presented by antigen presenting cells (APCs). In turn, recruits the Src kinase LCK to the vicinity of the TCR-CD3 complex. LCK then initiates different intracellular signaling pathways by phosphorylating various substrates ultimately leading to lymphokine production, motility, adhesion and activation of cytotoxic T-lymphocytes (CTLs). This mechanism enables CTLs to recognize and eliminate infected cells and tumor cells. In NK-cells, the presence of CD8A homodimers at the cell surface provides a survival mechanism allowing conjugation and lysis of multiple target cells. CD8A homodimer molecules also promote the survival and differentiation of activated lymphocytes into memory CD8 T-cells.
Images
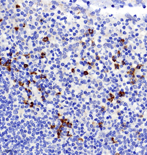
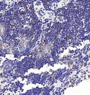
![]() | Immunohistochemistry of paraffin embedded human tonsil using CD8A (GB11068-1) at dilution of 1:200 (400x lens) |
![]() | Immunohistochemistry of paraffin embedded mouse spleen using CD8A (GB11068-1) at dilution of 1:200 (400x lens) |
![]() | Immunofluorescence of paraffin embedded human tonsil using CD8A (GB11068-1) at dilution of 1:500 (400x lens) |
| Immunofluorescence of paraffin embedded mouse bone using CD8A (GB11068-1) at dilution of 1:500 (400x lens) |
| Immunofluorescence of paraffin embedded mouse thymus using CD8A (GB11068-1) at dilution of 1:500 (400x lens) |
Storage
| Storage | Store at -20 ℃ for one year. Avoid repeated freeze/ thaw cycles. |
| Storage Buffer | PBS with 0.02% sodium azide, 100 μg/ml BSA and 50% glycerol. |
NOTE:
1.This product is intended for research only.
2.This product is recommended to dilute with the Primary Antibody Dilution Buffer (G2025).
| 货号 | 名称 | 规格 | 价格 | 操作 |
|---|
| 货号 | 名称 | 规格 | 价格 | 操作 |
|---|









