
Anti-Fc epsilon RI/FCER1A Rabbit pAb
- 50 μL
产品信息
|
蛋白质全称 |
高亲和力免疫球蛋白ε受体亚基 α |
|
别名 |
Fc-epsilon RI-alpha, FcERI, IgE Fc receptor subunit alpha, Fcer1a, Fce1a |
|
Uniprot ID |
P20489 |
|
免疫原 |
KLH偶联的小鼠Fc epsilon RI/FCER1A合成肽 |
|
抗体亚型 |
IgG |
|
纯化方式 |
亲和纯化 |
|
亚细胞定位 |
细胞膜 |
应用
| 应用 | 物种 | 稀释 | 阳性样品 |
| IHC/IF 免疫组织化学/免疫荧光 | 大鼠 | 1: 900-1: 1800 | 脾 |
背景
The immunoglobulin epsilon receptor (IgE receptor) is the initiator of the allergic response. When two or more high-affinity IgE receptors are brought together by allergen-bound IgE molecules, mediators such as histamine that are responsible for allergy symptoms are released. This receptor is comprised of an alpha subunit, a beta subunit, and two gamma subunits. The protein encoded by this gene represents the alpha subunit.
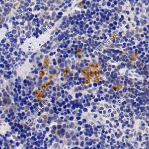
图像
|
|
IHC检测Fc epsilon RI/FCER1A蛋白(货号 GB113166). 样品: 大鼠脾, 4%多聚甲醛 (货号G1101) 固定12-24小时. 抗原修复: 柠檬酸抗原修复液(干粉, pH 6.0) (G1201), 98℃, 20分钟. —抗: 1: 900稀释, 4℃ 孵育过夜. 二抗: HRP标记山羊抗兔IgG (H+L) (货号GB23303), 1: 200稀释, 室温孵育1小时. |
储存
| 储存条件 | 在-20℃下储存一年, 避免反复冻融. |
| 储存缓冲液 | 含0.15% ProClin300防腐剂, 100 μg/mL牛血清白蛋白和50%甘油的磷酸盐缓冲液. |
注意:
1.本产品仅供研究使用.
2.建议用一抗稀释液(G2025)稀释本产品.
| 货号 | 名称 | 规格 | 价格 | 操作 |
|---|
| 货号 | 名称 | 规格 | 价格 | 操作 |
|---|
