
Anti-BLNK Rabbit pAb
- 100 μL
产品信息
|
蛋白质全称 |
B细胞连接蛋白 |
|
别名 |
Blnk, AGM4, BASH, BLNK-S, LY57, SLP-65, SLP65, Bca, B-cell linker |
|
Uniprot ID |
Q9QUN3 |
|
免疫原 |
小鼠BLNK重组蛋白 |
|
抗体亚型 |
IgG |
|
纯化方式 |
亲和纯化 |
|
亚细胞定位 |
膜 |
应用
| 应用 | 物种 | 稀释 | 阳性样品 |
| IHC/IF 免疫组织化学/免疫荧光 | 小鼠, 大鼠 | 1: 1500-1: 5000 | 脾 |
背景
The function of BLNK was first illustrated in BLNK deficient DT40 cells, a chicken B-cell line, which exhibited an abrogated intracellular calcium mobilisation response and impaired activation of MAP kinases p38, JNK, and to a lesser degree ERK upon B-cell receptor (BCR) activation as compared to wild type DT40 cells. In knockout mice, BLNK deficiency results in a partial block in B-cell development, and in humans BLNK deficiency results in a much more profound block in B-cell development.
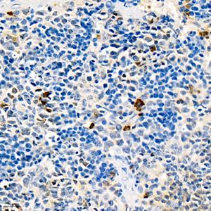
图像
|
|
IHC检测BLNK蛋白(货号 GB11734). 样品: 小鼠脾, 4%多聚甲醛 (货号G1101) 固定12-24小时. 抗原修复: 柠檬酸抗原修复液(干粉, pH 6.0) (G1201), 98℃, 20分钟. —抗: 1: 2500稀释, 4℃ 孵育过夜. 二抗: HRP标记山羊抗兔IgG (H+L) (货号GB23303), 1: 200稀释, 室温孵育1小时. |
|
|
IHC检测BLNK蛋白(货号 GB11734). 样品: 大鼠脾, 4%多聚甲醛 (货号G1101) 固定12-24小时. 抗原修复: 柠檬酸抗原修复液(干粉, pH 6.0) (G1201), 98℃, 20分钟. —抗: 1: 2500稀释, 4℃ 孵育过夜. 二抗: HRP标记山羊抗兔IgG (H+L) (货号GB23303), 1: 200稀释, 室温孵育1小时. |
储存
| 储存条件 | 在-20℃下储存一年, 避免反复冻融. |
| 储存缓冲液 | 含0.15% ProClin300防腐剂, 100 μg/mL牛血清白蛋白和50%甘油的磷酸盐缓冲液. |
注意:
1.本产品仅供研究使用.
2.建议用一抗稀释液(G2025)稀释本产品.
| 货号 | 名称 | 规格 | 价格 | 操作 |
|---|
| 货号 | 名称 | 规格 | 价格 | 操作 |
|---|

