
Anti-CD163 Mouse mAb
- 50 μL
Product Information
Protein full name | Scavenger receptor cysteine-rich type 1 protein M130 (Hemoglobin scavenger receptor) (CD antigen CD163) [Cleaved into: Soluble CD163 (sCD163)] |
Gene Id | 9332 |
Immunogen | Synthesized peptide derived from human CD163 |
Uniprot ID | Q86VB7 |
Source | Mouse/IgG1, Kappa |
Concentration | 1 mg/ml |
Purity | The antibody was affinity-purified from mouse ascites by affinity-chromatography using specific immunogen. |
Applications
IHC/IF | Human | 1: 200-1: 500 | colon, tonsil |
Background
CD163 is a transmembrane protein which belongs to the scavenger receptor cysteine-rich (SRCR) superfamily. This protein is a scavenger receptor for the hemoglobin-haptoglobin complex and is a marker for monocytes and macrophages. Soluble CD163 (sCD163), as a result of ectodomain shedding during inflammatory activation of macrophages, circulates in blood and has been suggested as a plasma/serum marker for macrophage activity.
Images
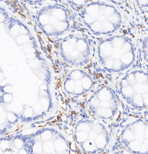
![]() |
Immunohistochemistry analysis of paraffin embedded human colon using CD163 (GB14027) at dilution of 1: 100 |
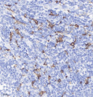
![]() |
Immunohistochemistry analysis of paraffin embedded human tonsil using CD163 (GB14027) at dilution of 1: 100 |
Storage
| Storage | Store at -20 ℃ for one year. Avoid repeated freeze/thaw cycles. |
| Storage Buffer | Liquid in PBS containing 50% glycerol, 0.5% BSA and 0.02% sodium azide. |
NOTE:
1.This product is intended for research only.
2.This product is recommended to dilute with the Primary Antibody Dilution Buffer (G2025).
| 货号 | 名称 | 规格 | 价格 | 操作 |
|---|
| 货号 | 名称 | 规格 | 价格 | 操作 |
|---|



