
Anti-Cytokeratin 8 Mouse mAb
- 100 μL
Product Information
Protein full name | Keratin, type II cytoskeletal 8 |
Synonyms | KRT8, CARD2, CK-8, CK8, CYK8, K2C8, K8, KO, keratin 8 |
Immunogen | Recombinant protein corresponding to Mouse Cytokeratin 8 |
Uniprot ID | |
Isotype | IgG2a,κ |
Purity | Affinity purification |
Subcellular location | Cytoplasm, Nucleus |
Applications
Applications | Species | Dilution | Positive Sample |
IHC/IF | Human, Mouse, Rat | 1: 100-1: 200 | stomach, liver |
Background
This gene is a member of the type II keratin family clustered on the long arm of chromosome 12. Type I and type II keratins heteropolymerize to form intermediate-sized filaments in the cytoplasm of epithelial cells. The product of this gene typically dimerizes with keratin 18 to form an intermediate filament in simple single-layered epithelial cells. This protein plays a role in maintaining cellular structural integrity and also functions in signal transduction and cellular differentiation. Mutations in this gene cause cryptogenic cirrhosis. Alternatively spliced transcript variants have been found for this gene.
Images
| Immunohistochemistry of paraffin embedded human stomach using CK8 (GB12231) at dilution of 1: 100 (150x lens) |
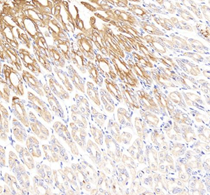
| Immunohistochemistry of paraffin embedded mouse stomach using CK8 (GB12231) at dilution of 1: 100 (250x lens) |
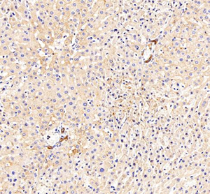
| Immunohistochemistry of paraffin embedded rat liver using CK8 (GB12231) at dilution of 1: 200 (150x lens) |
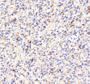
| Immunohistochemistry of paraffin embedded rat stomach using CK8 (GB12231) at dilution of 1: 200 (200x lens) |
Storage
| Storage | Store at -20 ℃ for one year. Avoid repeated freeze/ thaw cycles. |
| Storage Buffer | PBS with 0.02% sodium azide, 100 μg/ml BSA and 50% glycerol. |
NOTE:
1.This product is intended for research only.
2.This product is recommended to dilute with the Primary Antibody Dilution Buffer (G2025).
| 货号 | 名称 | 规格 | 价格 | 操作 |
|---|
| 货号 | 名称 | 规格 | 价格 | 操作 |
|---|







