
Recombinant Anti-Cytokeratin 16/K16 antibody (Mouse mAb)
- 50 μL
产品信息
|
蛋白质全称 |
I型细胞角蛋白16 |
|
别名 |
Krt16, KRT16, CK16, FNEPPK, K16, K1CP, KRT16A, NEPPK, PC1, keratin 16 |
|
Uniprot ID |
P08779 |
|
免疫原 |
KLH偶联的人Cytokeratin 16合成肽 |
|
抗体亚型 |
IgG1, κ |
|
克隆号 |
SB71 |
|
纯化方式 |
亲和纯化 |
|
亚细胞定位 |
细胞核, 分泌型, 细胞质 |
应用
| 应用 | 物种 | 稀释 | 阳性样品 |
| IHC/IF 免疫组织化学/免疫荧光 | 人 | 1: 500-1: 1000 | 食管癌 |
背景
Keratin 16 is a type I cytokeratin. It is paired with keratin 6 in a number of epithelial tissues, including nail bed, esophagus, tongue, and hair follicles. Mutations in the gene encoding this protein are associated with the genetic skin disorders including pachyonychia congenita, non-epidermolytic palmoplantar keratoderma and unilateral palmoplantar verrucous nevus
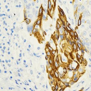
图像
|
|
IHC检测Cytokeratin 16/K16蛋白(货号 GB15805). 样品: 人食管癌, 4%多聚甲醛 (货号G1101) 固定12-24小时. 抗原修复: 柠檬酸抗原修复液(干粉, pH 6.0) (G1201), 高压锅均匀喷气计时2分钟. —抗: 1: 1000稀释, 4℃ 孵育过夜. 二抗: HRP标记山羊抗小鼠IgG (H+L) (货号GB23301), 1: 200稀释, 室温孵育1小时. |
储存
| 储存条件 | 在-20℃下储存一年, 避免反复冻融. |
| 储存缓冲液 | 含0.15% ProClin300防腐剂, 100 μg/mL牛血清白蛋白和50%甘油的磷酸盐缓冲液. |
注意:
1.本产品仅供研究使用.
2.建议用一抗稀释液(G2025)稀释本产品.
| 货号 | 名称 | 规格 | 价格 | 操作 |
|---|
| 货号 | 名称 | 规格 | 价格 | 操作 |
|---|
