
Anti-Cytokeratin 5 Mouse mAb
- 100 μL
产品信息
蛋白质全称 | II型细胞角蛋白5 |
别名 | Cytokeratin-5, CK-5, Keratin-5, K5, Type-II keratin Kb5, Krt5, Krt2-5 |
免疫原 | 小鼠Cytokeratin 5重组蛋白 |
Uniprot ID | Q922U2 |
抗体亚型 | IgG2b, κ |
克隆号 | 7D6F9 |
纯化方式 | 亲和纯化 |
亚细胞定位 | 细胞质 |
预测分子量. / 观测分子量. | 62 kDa / 62 kDa |
应用
| 应用 | 物种 | 稀释 | 阳性样品 |
| WB 免疫印迹 | 人 | 1: 1000-1: 2000 | A431细胞, HaCaT细胞, MCF-7细胞 |
| IHC/IF 免疫组织化学/免疫荧光 | 人 | 1: 400-1: 800 | 宫颈癌, 食道, 食道鳞状细胞癌 |
背景
The protein encoded by this gene is a member of the keratin gene family. It is one type II keratin, is coexpressed with keratin 14 in stratified squamous epithelia. The type II cytokeratins consist of basic or neutral proteins which are arranged in pairs of heterotypic keratin chains coexpressed during differentiation of simple and stratified epithelial tissues. This type II cytokeratin is specifically expressed in the basal layer of the epidermis with family member KRT14. Mutations in these genes have been associated with a complex of diseases termed epidermolysis bullosa simplex.
图像
| WB检测Cytokeratin 5蛋白(货号 GB121246). 样品: 经RIPA裂解液(货号G2002)处理的蛋白质. 封闭: 3%脱脂牛奶(货号GC310001)溶于TBST溶液, 室温孵育1小时. —抗: 1: 2000稀释, 4℃ 孵育过夜. 二抗: HRP标记山羊抗小鼠IgG (H+L) (货号GB23301), 1: 5000稀释, 室温孵育1小时. |
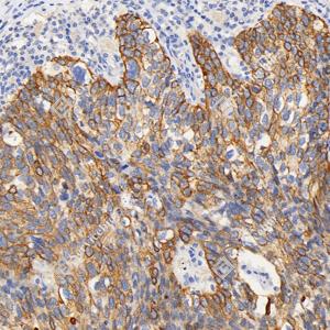
| IHC检测Cytokeratin 5蛋白(货号 GB121246). 样品: 人宫颈癌, 4%多聚甲醛 (货号G1101) 固定12-24小时. 抗原修复: 柠檬酸抗原修复液(干粉, pH 6.0) (G1201), 高压锅均匀喷气计时2分钟. —抗: 1: 400稀释, 4℃ 孵育过夜. 二抗: HRP标记山羊抗小鼠IgG (H+L) (货号GB23301), 1: 200稀释, 室温孵育1小时. |
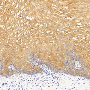
| IHC检测Cytokeratin 5蛋白(货号 GB121246). 样品: 人食管, 4%多聚甲醛 (货号G1101) 固定12-24小时. 抗原修复: 柠檬酸抗原修复液(干粉, pH 6.0) (G1201), 高压锅均匀喷气计时2分钟. —抗: 1: 800稀释, 4℃ 孵育过夜. 二抗: HRP标记山羊抗小鼠IgG (H+L) (货号GB23301), 1: 200稀释, 室温孵育1小时. |
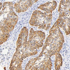
| IHC检测Cytokeratin 5蛋白(货号 GB121246). 样品: 人食管鳞状细胞癌, 4%多聚甲醛 (货号G1101) 固定12-24小时. 抗原修复: 柠檬酸抗原修复液(干粉, pH 6.0) (G1201), 高压锅均匀喷气计时2分钟. —抗: 1: 400稀释, 4℃ 孵育过夜. 二抗: HRP标记山羊抗小鼠IgG (H+L) (货号GB23301), 1: 200稀释, 室温孵育1小时. |
储存
| 储存条件 | 在-20℃下储存一年, 避免反复冻融. |
| 储存缓冲液 | 含0.15% ProClin300防腐剂, 100 μg/mL牛血清白蛋白和50%甘油的磷酸盐缓冲液. |
注意:
1.本产品仅供研究使用.
2.建议用一抗稀释液(G2025)稀释本产品.
| 货号 | 名称 | 规格 | 价格 | 操作 |
|---|
| 货号 | 名称 | 规格 | 价格 | 操作 |
|---|



