
Anti-Estrogen Receptor beta Rabbit pAb
- 100 μL
Product Information
Description | Estrogen Receptor beta rabbit polyclonal |
Protein full name | Estrogen receptor beta |
Synonyms | ESR2, ER-BETA, ESR-BETA, ESRB, ESTRB, Erb, NR3A2, estrogen receptor 2 |
Immunogen | KLH conjugated Synthetic peptide corresponding to Mouse Estrogen Receptor beta. |
Isotype | IgG |
Purity | Affinity purification |
Subcellular location | Nucleus |
Uniprot ID |
Applications
applications | species | dilution | Positive tissue |
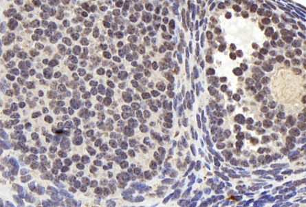
IHC | Mouse, Rat | 1:500-1:1500 | ovary |
| IF | Mouse, Rat | 1:500-1:1500 | ovary |
Background
Estrogen receptor beta (ER-β) is one of two main types of estrogen receptor, a nuclear receptor which is activated by the sex hormone estrogen. ER-β is a member of the family of estrogen receptors and the superfamily of nuclear receptor transcription factors. Upon binding to 17-β-estradiol, estriol or related ligands, the encoded protein forms homo-dimers or hetero-dimers with estrogen receptor α that interact with specific DNA sequences to activate transcription. ER-β is a potent tumor suppressor and plays a crucial role in many cancer types such as prostate cancer. It also has an important role in adaptive function of the lung during pregnancy.
Images
| Immunohistochemistry analysis of paraffin-embedded mouse ovary using Estrogen Receptor beta (GB11514) at dilution of 1:1400 |
Storage
| Storage | Store at -20 ℃ for one year. Avoid repeated freeze/thaw cycles. |
| Storage Buffer | PBS with 0.02%sodium azide,100 μg/ml BSA and 50% glycerol. |
NOTE:
1.This product is intended for research only.
2.This product is recommended to dilute with the Primary Antibody Dilution Buffer (G2025).
| 货号 | 名称 | 规格 | 价格 | 操作 |
|---|
| 货号 | 名称 | 规格 | 价格 | 操作 |
|---|


