
Anti-Estrogen Receptor (ER) beta Mouse mAb
- 50 μL
Product Information
Protein full name | Estrogen receptor beta |
Immunogen | Synthesized peptide derived from human Estrogen receptor beta |
Uniprot ID | Q92731 |
Source | Mouse |
Concentration | 1 mg/ml |
Purity | The antibody was affinity-purified from mouse ascites by affinity-chromatography using specific immunogen. |
Applications
IHC/IF | Human | 1: 200-1: 500 | breast cancer |
Background
Estrogen receptor-beta (ESR2) is a member of the superfamily of nuclear receptors, which can transduce extracellular signals into transcriptional responses. It binds estrogens with an affinity similar to that of ESR1, and activates expression of reporter genes containing estrogen response elements (ERE) in an estrogen-dependent manner. DNA-binding by ESR1 and ESR2 is rapidly lost at 37 degrees Celsius in the absence of ligand while in the presence of 17 beta-estradiol and 4-hydroxy-tamoxifen loss in DNA-binding at elevated temperature is more gradual. ESR2 exists various isoform and range of calculated molecular weight of isoforms is 50-60 kDa.
Images
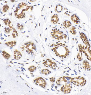
| Immunohistochemistry analysis of paraffin embedded human breast cancer using ERβ (GB14080) at dilution of 1: 200 |
Storage
| Storage | Store at -20 ℃ for one year. Avoid repeated freeze/thaw cycles. |
| Storage Buffer | Liquid in PBS containing 50% glycerol, 0.5% BSA and 0.02% sodium azide. |
NOTE:
1.This product is intended for research only.
2.This product is recommended to dilute with the Primary Antibody Dilution Buffer (G2025).
| 货号 | 名称 | 规格 | 价格 | 操作 |
|---|
| 货号 | 名称 | 规格 | 价格 | 操作 |
|---|

