
Anti-POM121 Rabbit pAb
- 100 μL
产品信息
|
蛋白质全称 |
核孔膜蛋白POM121 |
|
别名 |
KIAA0618, Nucleoporin Nup121, NUP121, POM121, POM121A, Pore membrane protein of 121 kDa |
|
Uniprot ID |
Q8K3Z9 |
|
免疫原 |
KLH偶联的小鼠POM121合成肽 |
|
抗体亚型 |
IgG |
|
预测分子量./观测分子量. |
121 kDa / 121 kDa |
|
纯化方式 |
亲和纯化 |
|
亚细胞定位 |
细胞核, 内质网 |
应用
| 应用 | 物种 | 稀释 | 阳性样品 |
| WB 免疫印迹 | 人 | 1: 300-1: 600 | HeLa细胞, K562细胞 |
| IHC/IF 免疫组织化学/免疫荧光 | 人 | 1: 200-1: 400 | 喉癌, 宫颈鳞状细胞癌 |
背景
Essential component of the nuclear pore complex (NPC). The repeat-containing domain may be involved in anchoring components of the pore complex to the pore membrane. When overexpressed in cells induces the formation of cytoplasmic annulate lamellae .
图像
|
|
WB检测POM121蛋白(货号 GB113684). 样品: 经RIPA裂解液(货号G2002)处理的蛋白质. 封闭: 3%脱脂牛奶(货号GC310001)溶于TBST溶液, 室温孵育1小时. —抗: 1: 600稀释, 4℃ 孵育过夜. 二抗: HRP标记山羊抗兔IgG (H+L) (货号GB23303), 1: 5000稀释, 室温孵育1小时. |
|
|
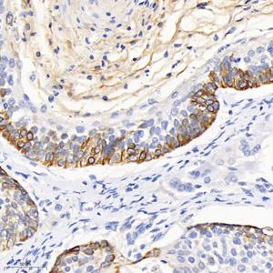
IHC检测POM121蛋白(货号 GB113684). 样品: 人喉癌, 4%多聚甲醛 (货号G1101) 固定12-24小时. 抗原修复: 柠檬酸抗原修复液(干粉, pH 6.0) (G1201), 98℃, 20分钟. —抗: 1: 400稀释, 4℃ 孵育过夜. 二抗: HRP标记山羊抗兔IgG (H+L) (货号GB23303), 1: 200稀释, 室温孵育1小时. |
|
|
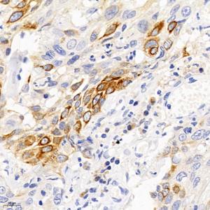
IHC检测POM121蛋白(货号 GB113684). 样品: 人宫颈鳞状细胞癌, 4%多聚甲醛 (货号G1101) 固定12-24小时. 抗原修复: 柠檬酸抗原修复液(干粉, pH 6.0) (G1201), 98℃, 20分钟. —抗: 1: 400稀释, 4℃ 孵育过夜. 二抗: HRP标记山羊抗兔IgG (H+L) (货号GB23303), 1: 200稀释, 室温孵育1小时. |
储存
| 储存条件 | 在-20℃下储存一年, 避免反复冻融. |
| 储存缓冲液 | 含0.15% ProClin300防腐剂, 100 μg/mL牛血清白蛋白和50%甘油的磷酸盐缓冲液. |
注意:
1.本产品仅供研究使用.
2.建议用一抗稀释液(G2025)稀释本产品.
| 货号 | 名称 | 规格 | 价格 | 操作 |
|---|
| 货号 | 名称 | 规格 | 价格 | 操作 |
|---|


