
Anti-RANGRF Rabbit pAb
- 100 μL
产品信息
|
蛋白质全称 |
Ran鸟嘌呤核苷酸释放因子 |
|
别名 |
MOG1, MOG 1, MOG1 homolog, Ran guanine nucleotide release factor, Ran-binding protein MOG1, RanGNRF, RANGRF, MOG |
|
Uniprot ID |
Q9JIB0 |
|
免疫原 |
KLH偶联的小鼠RANGRF合成肽 |
|
抗体亚型 |
IgG |
|
纯化方式 |
亲和纯化 |
|
亚细胞定位 |
细胞核, 细胞质 |
应用
| 应用 | 物种 | 稀释 | 阳性样品 |
| IHC/IF 免疫组织化学/免疫荧光 | 小鼠, 大鼠 | 1: 500-1: 3000 | 睾丸 |
背景
This gene encodes a protein that has been shown to function as a guanine nucleotide release factor in mouse and to regulate the expression and function of the Nav1.5 cardiac sodium channel in human. Alternative splicing results in multiple transcript variants. May regulate the intracellular trafficking of RAN. Promotes guanine nucleotide release from RAN and inhibits binding of new GTP by preventing the binding of the RAN guanine nucleotide exchange factor RCC1.
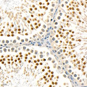
图像
|
|
IHC检测RANGRF蛋白(货号 GB11850). 样品: 小鼠睾丸, 4%多聚甲醛 (货号G1101) 固定12-24小时. 抗原修复: 柠檬酸抗原修复液(干粉, pH 6.0) (G1201), 98℃, 20分钟. —抗: 1: 1500稀释, 4℃ 孵育过夜. 二抗: HRP标记山羊抗兔IgG (H+L) (货号GB23303), 1: 200稀释, 室温孵育1小时. |
|
|
IHC检测RANGRF蛋白(货号 GB11850). 样品: 大鼠睾丸, 4%多聚甲醛 (货号G1101) 固定12-24小时. 抗原修复: 柠檬酸抗原修复液(干粉, pH 6.0) (G1201), 98℃, 20分钟. —抗: 1: 1500稀释, 4℃ 孵育过夜. 二抗: HRP标记山羊抗兔IgG (H+L) (货号GB23303), 1: 200稀释, 室温孵育1小时. |
储存
| 储存条件 | 在-20℃下储存一年, 避免反复冻融. |
| 储存缓冲液 | 含0.15% ProClin300防腐剂, 100 μg/mL牛血清白蛋白和50%甘油的磷酸盐缓冲液. |
注意:
1.本产品仅供研究使用.
2.建议用一抗稀释液(G2025)稀释本产品.
| 货号 | 名称 | 规格 | 价格 | 操作 |
|---|
| 货号 | 名称 | 规格 | 价格 | 操作 |
|---|

