
Anti-NUP133 Rabbit pAb
- 50 μL
产品信息
|
蛋白质全称 |
核孔复合体蛋白Nup133 |
|
别名 |
133 kDa nucleoporin, Nucleoporin Nup133, NUP133, hNUP133 |
|
Uniprot ID |
Q8WUM0 |
|
免疫原 |
人NUP133重组蛋白 |
|
抗体亚型 |
IgG |
|
预测分子量./观测分子量. |
129 kDa / 129 kDa |
|
纯化方式 |
亲和纯化 |
|
亚细胞定位 |
细胞核 |
应用
| 应用 | 物种 | 稀释 | 阳性样品 |
| WB 免疫印迹 | 人 | 1: 500-1: 1000 | K562细胞, 293细胞, A375细胞 |
| IHC/IF 免疫组织化学/免疫荧光 | 小鼠, 大鼠 | 1: 2400-1: 4800 | 睾丸, 黑质, 皮肤 |
背景
Nuclear pore complex protein Nup133 is a protein that in humans is encoded by the NUP133 gene. The nucleoporin protein encoded by this gene displays evolutionarily conserved interactions with other nucleoporins. This protein, which localizes to both sides of the nuclear pore complex at interphase, remains associated with the complex during mitosis and is targeted at early stages to the reforming nuclear envelope. This protein also localizes to kinetochores of mitotic cells.
图像
|
|
WB检测NUP133蛋白(货号 GB112694). 样品: 经RIPA裂解液(货号G2002)处理的蛋白质. 封闭: 3%脱脂牛奶(货号GC310001)溶于TBST溶液, 室温孵育1小时. —抗: 1: 1000稀释, 4℃ 孵育过夜. 二抗: HRP标记山羊抗兔IgG (H+L) (货号GB23303), 1: 5000稀释, 室温孵育1小时. |
|
|
IHC检测NUP133蛋白(货号 GB112694). 样品: 小鼠睾丸, 4%多聚甲醛 (货号G1101) 固定12-24小时. 抗原修复: 柠檬酸抗原修复液(干粉, pH 6.0) (G1201), 98℃, 20分钟. —抗: 1: 4800稀释, 4℃ 孵育过夜. 二抗: HRP标记山羊抗兔IgG (H+L) (货号GB23303), 1: 200稀释, 室温孵育1小时. |
|
|
IHC检测NUP133蛋白(货号 GB112694). 样品: 小鼠黑质, 4%多聚甲醛 (货号G1101) 固定12-24小时. 抗原修复: 柠檬酸抗原修复液(干粉, pH 6.0) (G1201), 98℃, 20分钟. —抗: 1: 800稀释, 4℃ 孵育过夜. 二抗: HRP标记山羊抗兔IgG (H+L) (货号GB23303), 1: 200稀释, 室温孵育1小时. |
|
|
IHC检测NUP133蛋白(货号 GB112694). 样品: 大鼠黑质, 4%多聚甲醛 (货号G1101) 固定12-24小时. 抗原修复: 柠檬酸抗原修复液(干粉, pH 6.0) (G1201), 98℃, 20分钟. —抗: 1: 800稀释, 4℃ 孵育过夜. 二抗: HRP标记山羊抗兔IgG (H+L) (货号GB23303), 1: 200稀释, 室温孵育1小时. |
|
|
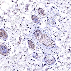
IHC检测NUP133蛋白(货号 GB112694). 样品: 大鼠皮肤, 4%多聚甲醛 (货号G1101) 固定12-24小时. 抗原修复: 柠檬酸抗原修复液(干粉, pH 6.0) (G1201), 98℃, 20分钟. —抗: 1: 800稀释, 4℃ 孵育过夜. 二抗: HRP标记山羊抗兔IgG (H+L) (货号GB23303), 1: 200稀释, 室温孵育1小时. |
|
|
IHC检测NUP133蛋白(货号 GB112694). 样品: 大鼠心, 4%多聚甲醛 (货号G1101) 固定12-24小时. 抗原修复: 柠檬酸抗原修复液(干粉, pH 6.0) (G1201), 98℃, 20分钟. —抗: 1: 800稀释, 4℃ 孵育过夜. 二抗: HRP标记山羊抗兔IgG (H+L) (货号GB23303), 1: 200稀释, 室温孵育1小时. |
储存
| 储存条件 | 在-20℃下储存一年, 避免反复冻融. |
| 储存缓冲液 | 含0.15% ProClin300防腐剂, 100 μg/mL牛血清白蛋白和50%甘油的磷酸盐缓冲液. |
注意:
1.本产品仅供研究使用.
2.建议用一抗稀释液(G2025)稀释本产品.
| 货号 | 名称 | 规格 | 价格 | 操作 |
|---|
| 货号 | 名称 | 规格 | 价格 | 操作 |
|---|





