
Anti-Mannose Receptor Rabbit pAb
- 100 μL
Product Information
| Description |
Mannose Receptor rabbit polyclonal antibody |
| Protein full name |
Macrophage mannose receptor 1 |
|
Synonyms |
Mannose Receptor C-Type 1,MRC1,CD206, MRC1L1, MMR, MRC1L1 |
| Immunogen |
KLH conjugated Synthetic peptide corresponding to Mouse CD206 |
| Isotype | IgG |
| Purity | Affinity purification |
| Subcellular location |
Endosome membrane,Cell membrane |
| Uniprot ID | P22897,Q61830 |
Applications
Applications | Species | Dilution | Positive Sample |
IHC/IF | Human, Mouse, Rat | 1: 500-1: 2000 | pneumonia, tonsil |
Background
Mediates the endocytosis of glycoproteins by macrophages. Binds both sulfated and non-sulfated polysaccharide chains. (Microbial infection) Acts as phagocytic receptor for bacteria, fungi and other pathogens. Acts as a receptor for Dengue virus envelope protein E . Interacts with hepatitis B virus envelope protein .
Images
|
|
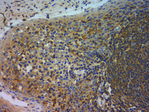
Immunohistochemistry of paraffin embedded human tonsil using CD206 (GB11062) at dilution of 1:1000 (100x lens) |
|
|
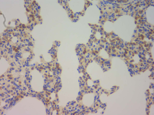
Immunohistochemistry of paraffin embedded mouse pneumonia using CD206 (GB11062) at dilution of 1:1000 (100x lens) |
|
|
Immunohistochemistry of paraffin embedded rat pneumonia using CD206 (GB11062) at dilution of 1:1000 (100x lens) |
Storage
| Storage | Store at -20 ℃ for one year. Avoid repeated freeze/ thaw cycles. |
| Storage Buffer | PBS with 0.02% sodium azide, 100 μg/ml BSA and 50% glycerol. |
NOTE:
1.This product is intended for research only.
2.This product is recommended to dilute with the Primary Antibody Dilution Buffer (G2025).
| 货号 | 名称 | 规格 | 价格 | 操作 |
|---|
| 货号 | 名称 | 规格 | 价格 | 操作 |
|---|





