
Anti-DC-SIGNR Rabbit pAb
- 100 μL
产品信息
|
蛋白质全称 |
C型凝集素结构域家族4成员M |
|
别名 |
CD209 antigen like protein 1, CD209L, CD209L1, CD299, CLEC4M, DC SIGN related protein, DC SIGN2, DC SIGNR, DCSIGNR, HP10347, L SIGN, LSIGN |
|
Uniprot ID |
Q9H2X3(H) |
|
免疫原 |
人DC-SIGNR重组蛋白 |
|
抗体亚型 |
IgG |
|
纯化方式 |
亲和纯化 |
|
亚细胞定位 |
细胞膜, 分泌型 |
应用
| 应用 | 物种 | 稀释 | 阳性样品 |
| IHC/IF 免疫组织化学/免疫荧光 | 人 | 1: 1500-1: 3000 | 肝 |
背景
Probable pathogen-recognition receptor involved in peripheral immune surveillance in liver. May mediate the endocytosis of pathogens which are subsequently degraded in lysosomal compartments. Is a receptor for ICAM3, probably by binding to mannose-like carbohydrates.
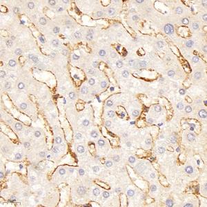
图像
|
|
IHC检测DC-SIGNR蛋白(货号 GB114161). 样品: 人肝, 4%多聚甲醛 (货号G1101) 固定12-24小时. 抗原修复: 柠檬酸抗原修复液(干粉, pH 6.0) (G1201), 98℃, 20分钟. —抗: 1: 1500稀释, 4℃ 孵育过夜. 二抗: HRP标记山羊抗兔IgG (H+L) (货号GB23303), 1: 200稀释, 室温孵育1小时. |
|
|
IF检测DC-SIGNR蛋白(货号 GB114161)(红色). 样品: 人肝, 4%多聚甲醛 (货号G1101) 固定12-24小时. 抗原修复: Tris-EDTA抗原修复液(pH 9.0) (G1203), 98℃, 20分钟. 封闭: 3% BSA(货号GC305010)的PBS溶液, 室温孵育30分钟. —抗: 1: 1500稀释, 4℃ 孵育过夜. 二抗: Cy3标记山羊抗兔IgG (H+L) (货号GB21303), 1: 300稀释, 室温孵育1小时. |
储存
| 储存条件 | 在-20℃下储存一年, 避免反复冻融. |
| 储存缓冲液 | 含0.15% ProClin300防腐剂, 100 μg/mL牛血清白蛋白和50%甘油的磷酸盐缓冲液. |
注意:
1.本产品仅供研究使用.
2.建议用一抗稀释液(G2025)稀释本产品.
| 货号 | 名称 | 规格 | 价格 | 操作 |
|---|
| 货号 | 名称 | 规格 | 价格 | 操作 |
|---|

