
Anti-RANKL Rabbit pAb
- 100 μL
Product Information
Description | RANKL rabbit polyclonal antibody |
Protein full name | Tumor necrosis factor ligand superfamily member 11 |
Synonyms | TNFSF11, CD254, ODF, OPGL, OPTB2, TRANCE, hRANKL2, sOdf, TNLG6 |
Immunogen | KLH conjugated Synthetic peptide corresponding to Mouse RANKL |
Isotype | IgG |
Purity | Affinity purification |
Subcellular location | Cell membrane, Cytoplasm, Secreted |
Uniprot ID | O35235, Q9ESE2 |
Applications
Applications | Species | Dilution | Positive Sample |
IHC/IF | Mouse, Rat | 1: 100-1: 400 | bone |
Background
Cytokine that binds to TNFRSF11B/OPG and to TNFRSF11A/RANK. Osteoclast differentiation and activation factor. Augments the ability of dendritic cells to stimulate naive T-cell proliferation. May be an important regulator of interactions between T-cells and dendritic cells and may play a role in the regulation of the T-cell-dependent immune response. May also play an important role in enhanced bone-resorption in humoral hypercalcemia of malignancy (By similarity).
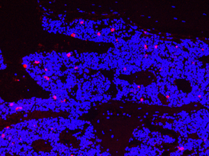
Images
|
|
Immunohistochemistry of paraffin embedded mouse bone using RANKL (GB11235) at dilution of 1:200 (100x lens) |
|
|
Immunofluorescence of paraffin embedded mouse bone using RANKL (GB11235) at dilution of 1:200 (100x lens) |
Storage
| Storage | Store at -20 ℃ for one year. Avoid repeated freeze/ thaw cycles. |
| Storage Buffer | PBS with 0.02% sodium azide, 100 μg/ml BSA and 50% glycerol. |
NOTE:
1.This product is intended for research only.
2.This product is recommended to dilute with the Primary Antibody Dilution Buffer (G2025).
| 货号 | 名称 | 规格 | 价格 | 操作 |
|---|
| 货号 | 名称 | 规格 | 价格 | 操作 |
|---|



