
Anti-RUNX1/AML1 Rabbit pAb
- 100 μL
产品信息
|
蛋白质全称 |
Runt相关转录因子1 |
|
别名 |
Runx1, RUNX1, AML1, AML1-EVI-1, AMLCR1, CBF2alpha, CBFA2, EVI-1, PEBP2aB, PEBP2alpha, runt related transcription factor 1 |
|
Uniprot ID |
Q03347 |
|
免疫原 |
小鼠Runt-related transcription factor 1重组蛋白 |
|
抗体亚型 |
IgG |
|
纯化方式 |
亲和纯化 |
|
亚细胞定位 |
细胞核, 细胞质(β亚基) |
应用
| 应用 | 物种 | 稀释 | 阳性样品 |
| IHC/IF 免疫组织化学/免疫荧光 | 小鼠, 大鼠 | 1: 200-1: 1000 | 胎盘, 淋巴, 脾 |
背景
Runt-related transcription factor 1 (RUNX1) is a transcription factor that regulates the differentiation of hematopoietic stem cells into mature blood cells. In addition it plays a major role in the development of the neurons that transmit pain. It belongs to the Runt-related transcription factor (RUNX) family of genes which are also called core binding factor-α (CBFα). RUNX proteins form a heterodimeric complex with CBFβwhich confers increased DNA binding and stability to the complex.
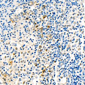
图像
|
|
IHC检测RUNX1/AML1蛋白(货号 GB11797). 样品: 小鼠胎盘, 4%多聚甲醛 (货号G1101) 固定12-24小时. 抗原修复: 柠檬酸抗原修复液(干粉, pH 6.0) (G1201), 98℃, 20分钟. —抗: 1: 250稀释, 4℃ 孵育过夜. 二抗: HRP标记山羊抗兔IgG (H+L) (货号GB23303), 1: 200稀释, 室温孵育1小时. |
|
|
IHC检测RUNX1/AML1蛋白(货号 GB11797). 样品: 大鼠淋巴, 4%多聚甲醛 (货号G1101) 固定12-24小时. 抗原修复: 柠檬酸抗原修复液(干粉, pH 6.0) (G1201), 98℃, 20分钟. —抗: 1: 250稀释, 4℃ 孵育过夜. 二抗: HRP标记山羊抗兔IgG (H+L) (货号GB23303), 1: 200稀释, 室温孵育1小时. |
|
|
IHC检测RUNX1/AML1蛋白(货号 GB11797). 样品: 大鼠脾, 4%多聚甲醛 (货号G1101) 固定12-24小时. 抗原修复: 柠檬酸抗原修复液(干粉, pH 6.0) (G1201), 98℃, 20分钟. —抗: 1: 250稀释, 4℃ 孵育过夜. 二抗: HRP标记山羊抗兔IgG (H+L) (货号GB23303), 1: 200稀释, 室温孵育1小时. |
储存
| 储存条件 | 在-20℃下储存一年, 避免反复冻融. |
| 储存缓冲液 | 含0.15% ProClin300防腐剂, 100 μg/mL牛血清白蛋白和50%甘油的磷酸盐缓冲液. |
注意:
1.本产品仅供研究使用.
2.建议用一抗稀释液(G2025)稀释本产品.
| 货号 | 名称 | 规格 | 价格 | 操作 |
|---|
| 货号 | 名称 | 规格 | 价格 | 操作 |
|---|


