
Anti-BMP4 Rabbit pAb
- 100 μL
产品信息
蛋白质全称 | 骨形态发生蛋白4 |
别名 | BMP4, BMP2B, BMP2B1, MCOPS6, OFC11, ZYME, bone morphogenetic protein 4, ZYME, zbmp-4, DVR4 |
Uniprot ID | |
免疫原 | 小鼠小鼠BMP4.重组蛋白 |
抗体亚型 | IgG |
纯化方式 | 亲和纯化 |
亚细胞定位 | 分泌型 |
应用
| 应用 | 物种 | 稀释 | 阳性样品 |
| IHC/IF 免疫组织化学/免疫荧光 | 小鼠 | 1: 1000-1: 4000 | 骨 |
背景
BMP4 is a polypeptide belonging to the TGF-βsuperfamily of proteins, which binds to 2 different types of serine-threonine kinase receptors known as BMPR1 and BMPR2. Signal transduction via these receptors occurs via Smad and map kinase pathways to effect transcription of its target genes. Like other bone morphogenetic proteins, it is involved in bone and cartilage development, specifically tooth and limb development and fracture repair, playing an important role in the onset of endochondral bone formation in humans. It has been shown to be involved in muscle development, bone mineralization, and ureteric bud development.
图像
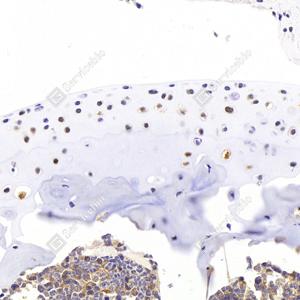
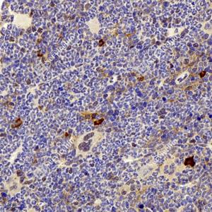
| IHC检测BMP4蛋白(货号 GB11520). 样品: 小鼠骨, 4%多聚甲醛 (货号G1101) 固定12-24小时. 抗原修复: 柠檬酸抗原修复液(干粉, pH 6.0) (G1201), 98℃, 20分钟. —抗: 1: 2000稀释, 4℃ 孵育过夜. 二抗: HRP标记山羊抗兔IgG (H+L) (货号GB23303), 1: 200稀释, 室温孵育1小时. |
| IHC检测BMP4蛋白(货号 GB11520). 样品: 小鼠骨, 4%多聚甲醛 (货号G1101) 固定12-24小时. 抗原修复: 柠檬酸抗原修复液(干粉, pH 6.0) (G1201), 98℃, 20分钟. —抗: 1: 2000稀释, 4℃ 孵育过夜. 二抗: HRP标记山羊抗兔IgG (H+L) (货号GB23303), 1: 200稀释, 室温孵育1小时. |
储存
| 储存条件 | 在-20℃下储存一年, 避免反复冻融. |
| 储存缓冲液 | 含0.15% ProClin300防腐剂, 100 μg/mL牛血清白蛋白和50%甘油的磷酸盐缓冲液. |
注意:
1.本产品仅供研究使用.
2.建议用一抗稀释液(G2025)稀释本产品.
| 货号 | 名称 | 规格 | 价格 | 操作 |
|---|
| 货号 | 名称 | 规格 | 价格 | 操作 |
|---|

