
Anti-CAMSAP2 Rabbit pAb
- 100 μL
产品信息
|
蛋白质全称 |
钙调蛋白调节血影蛋白相关蛋白2 |
|
别名 |
CAMSAP1L1, KIAA1078 |
|
Uniprot ID |
Q8C1B1 |
|
免疫原 |
KLH偶联的小鼠CAMSAP2合成肽 |
|
抗体亚型 |
IgG |
|
纯化方式 |
亲和纯化 |
|
亚细胞定位 |
细胞质, 细胞骨架, 高尔基体 |
应用
| 应用 | 物种 | 稀释 | 阳性样品 |
| IHC/IF 免疫组织化学/免疫荧光 | 小鼠 | 1: 700-1: 1400 | 睾丸 |
背景
Key microtubule-organizing protein that specifically binds the minus-end of non-centrosomal microtubules and regulates their dynamics and organization . Specifically recognizes growing microtubule minus-ends and autonomously decorates and stabilizes microtubule lattice formed by microtubule minus-end polymerization (By similarity). Acts on free microtubule minus-ends that are not capped by microtubule-nucleating proteins or other factors and protects microtubule minus-ends from depolymerization (By similarity). In addition, it also reduces the velocity of microtubule polymerization (By similarity). Through the microtubule cytoskeleton, also regulates the organization of cellular organelles including the Golgi and the early endosomes (By similarity).
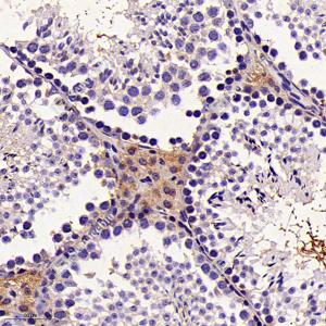
图像
|
|
IHC检测CAMSAP2蛋白(货号 GB115202). 样品: 小鼠睾丸, 4%多聚甲醛 (货号G1101) 固定12-24小时. 抗原修复: Tris-EDTA抗原修复液(pH 9.0) (G1203), 98℃, 20分钟. —抗: 1: 700稀释, 4℃ 孵育过夜. 二抗: HRP标记山羊抗兔IgG (H+L) (货号GB23303), 1: 200稀释, 室温孵育1小时. |
储存
| 储存条件 | 在-20℃下储存一年, 避免反复冻融. |
| 储存缓冲液 | 含0.15% ProClin300防腐剂, 100 μg/mL牛血清白蛋白和50%甘油的磷酸盐缓冲液. |
注意:
1.本产品仅供研究使用.
2.建议用一抗稀释液(G2025)稀释本产品.
| 货号 | 名称 | 规格 | 价格 | 操作 |
|---|
| 货号 | 名称 | 规格 | 价格 | 操作 |
|---|
