
Anti-PARC Rabbit pAb
- 50 μL
产品信息
|
蛋白质全称 |
Cullin-9蛋白 |
|
别名 |
CUL-9, p53-associated parkin-like cytoplasmic protein, Cul9, Kiaa0708, Parc |
|
Uniprot ID |
Q80TT8 |
|
免疫原 |
小鼠PARC重组蛋白 |
|
抗体亚型 |
IgG |
|
纯化方式 |
亲和纯化 |
|
亚细胞定位 |
细胞质 |
应用
| 应用 | 物种 | 稀释 | 阳性样品 |
| IHC/IF 免疫组织化学/免疫荧光 | 小鼠, 大鼠 | 1: 600-1: 1200 | 睾丸, 纹状体, 黑质 |
背景
Core component of a Cul9-RING ubiquitin-protein ligase complex, a complex that mediates ubiquitination and subsequent degradation of BIRC5 and is required to maintain microtubule dynamics and genome integrity. Acts downstream of the 3M complex, which inhibits CUL9 activity, leading to prevent ubiquitination of BIRC5 . Cytoplasmic anchor protein in p53/TP53-associated protein complex. Regulates the subcellular localization of p53/TP53 and subsequent function.
图像
|
|
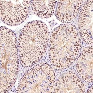
IHC检测PARC蛋白(货号 GB113044). 样品: 小鼠睾丸, 4%多聚甲醛 (货号G1101) 固定12-24小时. 抗原修复: 柠檬酸抗原修复液(干粉, pH 6.0) (G1201), 98℃, 20分钟. —抗: 1: 600稀释, 4℃ 孵育过夜. 二抗: HRP标记山羊抗兔IgG (H+L) (货号GB23303), 1: 200稀释, 室温孵育1小时. |
|
|
IHC检测PARC蛋白(货号 GB113044). 样品: 小鼠纹状体, 4%多聚甲醛 (货号G1101) 固定12-24小时. 抗原修复: 柠檬酸抗原修复液(干粉, pH 6.0) (G1201), 98℃, 20分钟. —抗: 1: 650稀释, 4℃ 孵育过夜. 二抗: HRP标记山羊抗兔IgG (H+L) (货号GB23303), 1: 200稀释, 室温孵育1小时. |
|
|
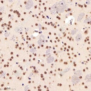
IHC检测PARC蛋白(货号 GB113044). 样品: 大鼠黑质, 4%多聚甲醛 (货号G1101) 固定12-24小时. 抗原修复: 柠檬酸抗原修复液(干粉, pH 6.0) (G1201), 98℃, 20分钟. —抗: 1: 600稀释, 4℃ 孵育过夜. 二抗: HRP标记山羊抗兔IgG (H+L) (货号GB23303), 1: 200稀释, 室温孵育1小时. |
储存
| 储存条件 | 在-20℃下储存一年, 避免反复冻融. |
| 储存缓冲液 | 含0.15% ProClin300防腐剂, 100 μg/mL牛血清白蛋白和50%甘油的磷酸盐缓冲液. |
注意:
1.本产品仅供研究使用.
2.建议用一抗稀释液(G2025)稀释本产品.
| 货号 | 名称 | 规格 | 价格 | 操作 |
|---|
| 货号 | 名称 | 规格 | 价格 | 操作 |
|---|


