
Anti-HIP2/LIG Rabbit pAb
- 100 μL
产品信息
|
蛋白质全称 |
泛素偶联酶E2 K |
|
别名 |
E2-25K, HIP 2, HIP2, HYPG, LIG, UBE2K, Ubiquitin carrier protein, Ubiquitin protein ligase |
|
Uniprot ID |
P61087 |
|
免疫原 |
小鼠HIP2/LIG重组蛋白 |
|
抗体亚型 |
IgG |
|
预测分子量./观测分子量. |
22 kDa / 26 kDa |
|
纯化方式 |
亲和纯化 |
|
亚细胞定位 |
细胞质 |
应用
| 应用 | 物种 | 稀释 | 阳性样品 |
| WB 免疫印迹 | 人, 小鼠, 大鼠 | 1: 300-1: 1000 | 脾, 胸腺, 淋巴结 |
| IHC/IF 免疫组织化学/免疫荧光 | 人 | 1: 1000-1: 2000 | 结肠癌, 结肠, 肾 |
背景
Accepts ubiquitin from the E1 complex and catalyzes its covalent attachment to other proteins. In vitro, in the presence or in the absence of BRCA1-BARD1 E3 ubiquitin-protein ligase complex, catalyzes the synthesis of 'Lys-48'-linked polyubiquitin chains. Does not transfer ubiquitin directly to but elongates monoubiquitinated substrate protein. Mediates the selective degradation of short-lived and abnormal proteins, such as the endoplasmic reticulum-associated degradation (ERAD) of misfolded lumenal proteins.
图像
|
|
WB检测HIP2/LIG蛋白(货号 GB113541). 样品: 经RIPA裂解液(货号G2002)处理的蛋白质. 封闭: 3%脱脂牛奶(货号GC310001)溶于TBST溶液, 室温孵育1小时. —抗: 1: 1000稀释, 4℃ 孵育过夜. 二抗: HRP标记山羊抗兔IgG (H+L) (货号GB23303), 1: 5000稀释, 室温孵育1小时. |
|
|
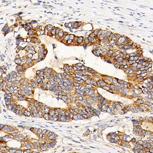
IHC检测HIP2/LIG蛋白(货号 GB113541). 样品: 人结肠癌, 4%多聚甲醛 (货号G1101) 固定12-24小时. 抗原修复: 柠檬酸抗原修复液(干粉, pH 6.0) (G1201), 98℃, 20分钟. —抗: 1: 1000稀释, 4℃ 孵育过夜. 二抗: HRP标记山羊抗兔IgG (H+L) (货号GB23303), 1: 200稀释, 室温孵育1小时. |
|
|
IHC检测HIP2/LIG蛋白(货号 GB113541). 样品: 人结肠, 4%多聚甲醛 (货号G1101) 固定12-24小时. 抗原修复: 柠檬酸抗原修复液(干粉, pH 6.0) (G1201), 98℃, 20分钟. —抗: 1: 2000稀释, 4℃ 孵育过夜. 二抗: HRP标记山羊抗兔IgG (H+L) (货号GB23303), 1: 200稀释, 室温孵育1小时. |
|
|
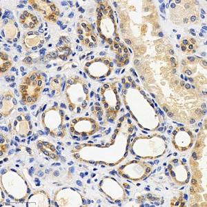
IHC检测HIP2/LIG蛋白(货号 GB113541). 样品: 人肾, 4%多聚甲醛 (货号G1101) 固定12-24小时. 抗原修复: 柠檬酸抗原修复液(干粉, pH 6.0) (G1201), 98℃, 20分钟. —抗: 1: 2000稀释, 4℃ 孵育过夜. 二抗: HRP标记山羊抗兔IgG (H+L) (货号GB23303), 1: 200稀释, 室温孵育1小时. |
|
|
IHC检测HIP2/LIG蛋白(货号 GB113541). 样品: 人胎盘, 4%多聚甲醛 (货号G1101) 固定12-24小时. 抗原修复: 柠檬酸抗原修复液(干粉, pH 6.0) (G1201), 98℃, 20分钟. —抗: 1: 2000稀释, 4℃ 孵育过夜. 二抗: HRP标记山羊抗兔IgG (H+L) (货号GB23303), 1: 200稀释, 室温孵育1小时. |
储存
| 储存条件 | 在-20℃下储存一年, 避免反复冻融. |
| 储存缓冲液 | 含0.15% ProClin300防腐剂, 100 μg/mL牛血清白蛋白和50%甘油的磷酸盐缓冲液. |
注意:
1.本产品仅供研究使用.
2.建议用一抗稀释液(G2025)稀释本产品.
| 货号 | 名称 | 规格 | 价格 | 操作 |
|---|
| 货号 | 名称 | 规格 | 价格 | 操作 |
|---|




