
Anti-EDD Rabbit pAb
- 100 μL
产品信息
|
蛋白质全称 |
E3泛素连接酶UBR5 |
|
别名 |
DD5, EDD, EDD1, FLJ11310, hHYD, HYD, KIAA0896, Progestin induced protein, UBR5, Rat100, Ubiquitin protein ligase |
|
Uniprot ID |
Q80TP3 |
|
免疫原 |
KLH偶联的小鼠EDD合成肽 |
|
抗体亚型 |
IgG |
|
纯化方式 |
亲和纯化 |
|
亚细胞定位 |
细胞核 |
应用
| 应用 | 物种 | 稀释 | 阳性样品 |
| IHC/IF 免疫组织化学/免疫荧光 | 小鼠, 大鼠 | 1: 350-1: 700 | 脾 |
背景
UBR5, also named as ubiquitin protein ligase E3 component n-reconin5, is a HECT domain-containing protein as a myocardin-binding protein. UBR5 is highly conserved in metazoans, has unique structural features, and has been implicated in regulation of DNA damage response, metabolism, transcription, and apoptosis. Hence, UBR5 is a key regulator of cell signaling relevant to broad areas of cancer biology . The human UBR5 gene has 59 exons, encoding an approximately 10kb mRNA and >300 kDa protein with widespread expression in various cell types.
图像
|
|
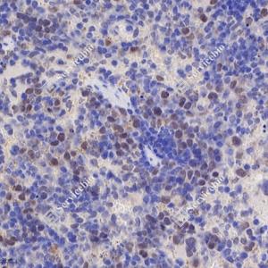
IHC检测EDD蛋白(货号 GB113338). 样品: 小鼠脾, 4%多聚甲醛 (货号G1101) 固定12-24小时. 抗原修复: Tris-EDTA抗原修复液(pH 9.0) (G1203), 98℃, 20分钟. —抗: 1: 350稀释, 4℃ 孵育过夜. 二抗: HRP标记山羊抗兔IgG (H+L) (货号GB23303), 1: 200稀释, 室温孵育1小时. |
|
|
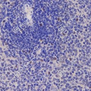
IHC检测EDD蛋白(货号 GB113338). 样品: 大鼠脾, 4%多聚甲醛 (货号G1101) 固定12-24小时. 抗原修复: Tris-EDTA抗原修复液(pH 9.0) (G1203), 98℃, 20分钟. —抗: 1: 700稀释, 4℃ 孵育过夜. 二抗: HRP标记山羊抗兔IgG (H+L) (货号GB23303), 1: 200稀释, 室温孵育1小时. |
储存
| 储存条件 | 在-20℃下储存一年, 避免反复冻融. |
| 储存缓冲液 | 含0.15% ProClin300防腐剂, 100 μg/mL牛血清白蛋白和50%甘油的磷酸盐缓冲液. |
注意:
1.本产品仅供研究使用.
2.建议用一抗稀释液(G2025)稀释本产品.
| 货号 | 名称 | 规格 | 价格 | 操作 |
|---|
| 货号 | 名称 | 规格 | 价格 | 操作 |
|---|

