
Anti-SEL1L Rabbit pAb
- 50 μL
产品信息
|
蛋白质全称 |
sel-1同源蛋白1 |
|
别名 |
IBD2, PRO1063, Sel 1 like protein, Sel 1 suppressor of lin 12 like, Sel-1L, SEL1 LIKE, Sel1l, Suppressor of lin-12-like protein 1, UNQ128, UNQ128/PRO1063, TSA305 |
|
Uniprot ID |
Q9Z2G6 |
|
免疫原 |
小鼠SEL1L重组蛋白 |
|
抗体亚型 |
IgG |
|
预测分子量./观测分子量. |
88 kDa / 110 kDa |
|
纯化方式 |
亲和纯化 |
|
亚细胞定位 |
内质网膜 |
应用
| 应用 | 物种 | 稀释 | 阳性样品 |
| WB 免疫印迹 | 人, 小鼠 | 1: 1000-1: 2000 | MCF7细胞, NIH/3T3细胞 |
| IHC/IF 免疫组织化学/免疫荧光 | 人, 小鼠, 大鼠 | 1: 500-1: 1500 | 胰腺 |
背景
Plays a role in the endoplasmic reticulum quality control (ERQC) system also called ER-associated degradation (ERAD) involved in ubiquitin-dependent degradation of misfolded endoplasmic reticulum proteins . Enhances SYVN1 stability . Plays a role in LPL maturation and secretion . Required for normal differentiation of the pancreas epithelium, and for normal exocrine function and survival of pancreatic cells . May play a role in Notch signaling.
图像
|
|
WB检测SEL1L蛋白(货号 GB114116). 样品: 经RIPA裂解液(货号G2002)处理的蛋白质. 封闭: 3%脱脂牛奶(货号GC310001)溶于TBST溶液, 室温孵育1小时. —抗: 1: 1000稀释, 4℃ 孵育过夜. 二抗: HRP标记山羊抗兔IgG (H+L) (货号GB23303), 1: 5000稀释, 室温孵育1小时. |
|
|
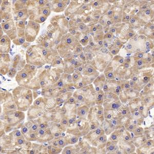
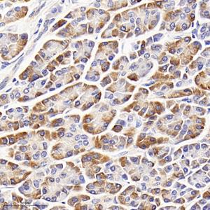
IHC检测SEL1L蛋白(货号 GB114116). 样品: 人胰腺, 4%多聚甲醛 (货号G1101) 固定12-24小时. 抗原修复: 柠檬酸抗原修复液(干粉, pH 6.0) (G1201), 98℃, 20分钟. —抗: 1: 1000稀释, 4℃ 孵育过夜. 二抗: HRP标记山羊抗兔IgG (H+L) (货号GB23303), 1: 200稀释, 室温孵育1小时. |
|
|
IHC检测SEL1L蛋白(货号 GB114116). 样品: 小鼠胰腺, 4%多聚甲醛 (货号G1101) 固定12-24小时. 抗原修复: 柠檬酸抗原修复液(干粉, pH 6.0) (G1201), 98℃, 20分钟. —抗: 1: 1000稀释, 4℃ 孵育过夜. 二抗: HRP标记山羊抗兔IgG (H+L) (货号GB23303), 1: 200稀释, 室温孵育1小时. |
|
|
IF检测SEL1L蛋白(货号 GB114116)(红色). 样品: 人胰腺, 4%多聚甲醛 (货号G1101) 固定12-24小时. 抗原修复: Tris-EDTA抗原修复液(pH 9.0) (G1203), 98℃, 20分钟. 封闭: 3% BSA(货号GC305010)的PBS溶液, 室温孵育30分钟. —抗: 1: 1000稀释, 4℃ 孵育过夜. 二抗: Cy3标记山羊抗兔IgG (H+L) (货号GB21303), 1: 300稀释, 室温孵育1小时. |
|
|
IF检测SEL1L蛋白(货号 GB114116)(红色). 样品: 小鼠胰腺, 4%多聚甲醛 (货号G1101) 固定12-24小时. 抗原修复: Tris-EDTA抗原修复液(pH 9.0) (G1203), 98℃, 20分钟. 封闭: 3% BSA(货号GC305010)的PBS溶液, 室温孵育30分钟. —抗: 1: 1000稀释, 4℃ 孵育过夜. 二抗: Cy3标记山羊抗兔IgG (H+L) (货号GB21303), 1: 300稀释, 室温孵育1小时. |
|
|
IF检测SEL1L蛋白(货号 GB114116)(红色). 样品: 大鼠胰腺, 4%多聚甲醛 (货号G1101) 固定12-24小时. 抗原修复: Tris-EDTA抗原修复液(pH 9.0) (G1203), 98℃, 20分钟. 封闭: 3% BSA(货号GC305010)的PBS溶液, 室温孵育30分钟. —抗: 1: 1000稀释, 4℃ 孵育过夜. 二抗: Cy3标记山羊抗兔IgG (H+L) (货号GB21303), 1: 300稀释, 室温孵育1小时. |
储存
| 储存条件 | 在-20℃下储存一年, 避免反复冻融. |
| 储存缓冲液 | 含0.15% ProClin300防腐剂, 100 μg/mL牛血清白蛋白和50%甘油的磷酸盐缓冲液. |
注意:
1.本产品仅供研究使用.
2.建议用一抗稀释液(G2025)稀释本产品.
| 货号 | 名称 | 规格 | 价格 | 操作 |
|---|
| 货号 | 名称 | 规格 | 价格 | 操作 |
|---|





