
Anti-PJA2 Rabbit pAb
- 100 μL
产品信息
|
蛋白质全称 |
E3泛素连接酶Praja-2 |
|
别名 |
Praja2, RING finger protein 131, RING-type E3 ubiquitin transferase Praja-2, Pja2, Kiaa0438, Rnf131 |
|
Uniprot ID |
Q80U04 |
|
免疫原 |
小鼠PJA2重组蛋白 |
|
抗体亚型 |
IgG |
|
纯化方式 |
亲和纯化 |
|
亚细胞定位 |
细胞膜, 细胞质 |
应用
| 应用 | 物种 | 稀释 | 阳性样品 |
| IHC/IF 免疫组织化学/免疫荧光 | 小鼠, 大鼠 | 1: 650-1: 1500 | 心 |
背景
PJA2, also known as E3 ubiquitin-protein ligase praja-2, RNF131 (ring finger protein 131) or Neurodap1, is a 708 amino acid protein that contains one ring-type zinc finger and exists as two alternatively spliced isoforms. Significantly conserved in chimpanzee, dog, cow, mouse, rat, chicken and zebrafish, PJA2 shares 52% identity with PJA1, which is involved in protein ubiquitination in brain and may play a role in X-linked mental retardation. Encoded by a gene that maps to human chromosome 5q21.
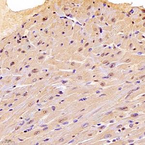
图像
|
|
IHC检测PJA2蛋白(货号 GB112603). 样品: 小鼠心, 4%多聚甲醛 (货号G1101) 固定12-24小时. 抗原修复: 柠檬酸抗原修复液(干粉, pH 6.0) (G1201), 98℃, 20分钟. —抗: 1: 650稀释, 4℃ 孵育过夜. 二抗: HRP标记山羊抗兔IgG (H+L) (货号GB23303), 1: 200稀释, 室温孵育1小时. |
|
|
IF检测PJA2蛋白(货号 GB112603)(红色). 样品: 小鼠心, 4%多聚甲醛 (货号G1101) 固定12-24小时. 抗原修复: Tris-EDTA抗原修复液(pH 9.0) (G1203), 98℃, 20分钟. 封闭: 3% BSA(货号GC305010)的PBS溶液, 室温孵育30分钟. —抗: 1: 750稀释, 4℃ 孵育过夜. 二抗: Cy3标记山羊抗兔IgG (H+L) (货号GB21303), 1: 300稀释, 室温孵育1小时. |
|
|
IF检测PJA2蛋白(货号 GB112603)(红色). 样品: 大鼠心, 4%多聚甲醛 (货号G1101) 固定12-24小时. 抗原修复: Tris-EDTA抗原修复液(pH 9.0) (G1203), 98℃, 20分钟. 封闭: 3% BSA(货号GC305010)的PBS溶液, 室温孵育30分钟. —抗: 1: 750稀释, 4℃ 孵育过夜. 二抗: Cy3标记山羊抗兔IgG (H+L) (货号GB21303), 1: 300稀释, 室温孵育1小时. |
储存
| 储存条件 | 在-20℃下储存一年, 避免反复冻融. |
| 储存缓冲液 | 含0.15% ProClin300防腐剂, 100 μg/mL牛血清白蛋白和50%甘油的磷酸盐缓冲液. |
注意:
1.本产品仅供研究使用.
2.建议用一抗稀释液(G2025)稀释本产品.
| 货号 | 名称 | 规格 | 价格 | 操作 |
|---|
| 货号 | 名称 | 规格 | 价格 | 操作 |
|---|


