
Anti-TRIM21/SS-A Rabbit pAb
- 50 μL
产品信息
|
蛋白质全称 |
E3泛素连接酶TRIM21 |
|
别名 |
52 kDa Ro protein, RING finger protein 81, RNF81, Ro(SS A), RO52, SS-A, SSA, SSA1, TRIM21, tripartite motif containing 21, Sjoegren syndrome type A antigen |
|
Uniprot ID |
Q62191 |
|
免疫原 |
小鼠TRIM21/SS-A重组蛋白 |
|
抗体亚型 |
IgG |
|
纯化方式 |
亲和纯化 |
|
亚细胞定位 |
细胞质, 细胞核 |
应用
| 应用 | 物种 | 稀释 | 阳性样品 |
| IHC/IF 免疫组织化学/免疫荧光 | 人 | 1: 700-1: 1400 | 胃 |
背景
TRIM21 has multiple N-terminal zinc finger motifs(has E3 ligase activity), a central leucine zipper, and a potential N-glycosylation site. TRIM3 is a E3 ubiquitin-protein ligase. It can form a ubiquitin ligase complex with E2 UBE2D2, which function not only for the uniquitination of USP4 and IKBKB but also for its self-ubiquitination. It has a role in the regulation of the cell cycle progression and could enhance the decapping activity of DCP2.
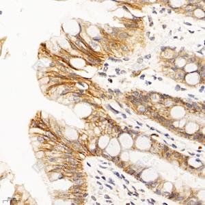
图像
|
|
IHC检测TRIM21/SS-A蛋白(货号 GB113486). 样品: 人胃, 4%多聚甲醛 (货号G1101) 固定12-24小时. 抗原修复: 柠檬酸抗原修复液(干粉, pH 6.0) (G1201), 98℃, 20分钟. —抗: 1: 700稀释, 4℃ 孵育过夜. 二抗: HRP标记山羊抗兔IgG (H+L) (货号GB23303), 1: 200稀释, 室温孵育1小时. |
储存
| 储存条件 | 在-20℃下储存一年, 避免反复冻融. |
| 储存缓冲液 | 含0.15% ProClin300防腐剂, 100 μg/mL牛血清白蛋白和50%甘油的磷酸盐缓冲液. |
注意:
1.本产品仅供研究使用.
2.建议用一抗稀释液(G2025)稀释本产品.
| 货号 | 名称 | 规格 | 价格 | 操作 |
|---|
| 货号 | 名称 | 规格 | 价格 | 操作 |
|---|
