
Anti-EIF2D Rabbit pAb
- 100 μL
产品信息
|
蛋白质全称 |
真核翻译起始因子2D |
|
别名 |
HCA56, LGTN, ligatin |
|
Uniprot ID |
Q61211 |
|
免疫原 |
KLH偶联的小鼠EIF2D合成肽 |
|
抗体亚型 |
IgG |
|
纯化方式 |
亲和纯化 |
|
亚细胞定位 |
细胞质 |
应用
| 应用 | 物种 | 稀释 | 阳性样品 |
| IHC/IF 免疫组织化学/免疫荧光 | 小鼠, 大鼠 | 1: 800-1: 2400 | 肝, 肾 |
背景
Translation initiation factor that is able to deliver tRNA to the P-site of the eukaryotic ribosome in a GTP-independent manner. The binding of Met-tRNA(I) occurs after the AUG codon finds its position in the P-site of 40S ribosomes, the situation that takes place during initiation complex formation on some specific RNAs. Its activity in tRNA binding with 40S subunits does not require the presence of the aminoacyl moiety. Possesses the unique ability to deliver non-Met (elongator) tRNAs into the P-site of the 40S subunit. In addition to its role in initiation, can promote release of deacylated tRNA and mRNA from recycled 40S subunits following ABCE1-mediated dissociation of post-termination ribosomal complexes into subunits.
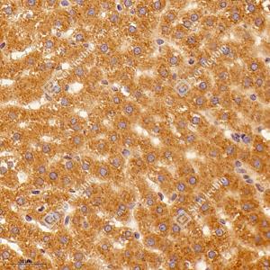
图像
|
|
IHC检测EIF2D蛋白(货号 GB114973). 样品: 大鼠肝, 4%多聚甲醛 (货号G1101) 固定12-24小时. 抗原修复: Tris-EDTA抗原修复液(pH 9.0) (G1203), 98℃, 20分钟. —抗: 1: 800稀释, 4℃ 孵育过夜. 二抗: HRP标记山羊抗兔IgG (H+L) (货号GB23303), 1: 200稀释, 室温孵育1小时. |
|
|
IHC检测EIF2D蛋白(货号 GB114973). 样品: 小鼠肾, 4%多聚甲醛 (货号G1101) 固定12-24小时. 抗原修复: Tris-EDTA抗原修复液(pH 9.0) (G1203), 98℃, 20分钟. —抗: 1: 800稀释, 4℃ 孵育过夜. 二抗: HRP标记山羊抗兔IgG (H+L) (货号GB23303), 1: 200稀释, 室温孵育1小时. |
储存
| 储存条件 | 在-20℃下储存一年, 避免反复冻融. |
| 储存缓冲液 | 含0.15% ProClin300防腐剂, 100 μg/mL牛血清白蛋白和50%甘油的磷酸盐缓冲液. |
注意:
1.本产品仅供研究使用.
2.建议用一抗稀释液(G2025)稀释本产品.
| 货号 | 名称 | 规格 | 价格 | 操作 |
|---|
| 货号 | 名称 | 规格 | 价格 | 操作 |
|---|

