
Anti-CPEB1 Rabbit pAb
- 50 μL
产品信息
|
蛋白质全称 |
细胞质多腺苷酸化元件结合蛋白1 |
|
别名 |
CEBP, CPE binding protein 1, CPE BP1, CPEB, CPEB1, h CEBP, hCPEB 1 |
|
Uniprot ID |
P70166 |
|
免疫原 |
KLH偶联的小鼠CPEB1合成肽 |
|
抗体亚型 |
IgG |
|
预测分子量./观测分子量. |
62 kDa / 62 kDa |
|
纯化方式 |
亲和纯化 |
|
亚细胞定位 |
细胞质, 细胞连接 |
应用
| 应用 | 物种 | 稀释 | 阳性样品 |
| WB 免疫印迹 | 人 | 1: 500-1: 1000 | HeLa细胞, SH-SY5Y细胞, K562细胞, Jurkat细胞, Hep G2细胞 |
| IHC/IF 免疫组织化学/免疫荧光 | 人 | 1: 800-1: 1600 | 卵巢癌, 肺癌, 食管癌 |
背景
Sequence-specific RNA-binding protein that regulates mRNA cytoplasmic polyadenylation and translation initiation during oocyte maturation, early development and at postsynapse sites of neurons. Binds to the cytoplasmic polyadenylation element (CPE), an uridine-rich sequence element (consensus sequence 5'-UUUUUAU-3') within the 3'-UTR of mRNAs. In absence of phosphorylation and in association with TACC3 is also involved as a repressor of translation of CPE-containing mRNA; a repression that is relieved by phosphorylation or degradation. Involved in the transport of CPE-containing mRNA to dendrites; those mRNAs may be transported to dendrites in a translationally dormant form and translationally activated at synapses.
图像
|
|
WB检测CPEB1蛋白(货号 GB114768). 样品: 经RIPA裂解液(货号G2002)处理的蛋白质. 封闭: 3%脱脂牛奶(货号GC310001)溶于TBST溶液, 室温孵育1小时. —抗: 1: 1000稀释, 4℃ 孵育过夜. 二抗: HRP标记山羊抗兔IgG (H+L) (货号GB23303), 1: 5000稀释, 室温孵育1小时. |
|
|
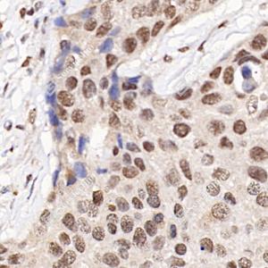
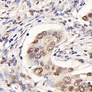
IHC检测CPEB1蛋白(货号 GB114768). 样品: 人食管癌, 4%多聚甲醛 (货号G1101) 固定12-24小时. 抗原修复: 柠檬酸抗原修复液(干粉, pH 6.0) (G1201), 98℃, 20分钟. —抗: 1: 800稀释, 4℃ 孵育过夜. 二抗: HRP标记山羊抗兔IgG (H+L) (货号GB23303), 1: 200稀释, 室温孵育1小时. |
|
|
IHC检测CPEB1蛋白(货号 GB114768). 样品: 人卵巢癌, 4%多聚甲醛 (货号G1101) 固定12-24小时. 抗原修复: 柠檬酸抗原修复液(干粉, pH 6.0) (G1201), 98℃, 20分钟. —抗: 1: 800稀释, 4℃ 孵育过夜. 二抗: HRP标记山羊抗兔IgG (H+L) (货号GB23303), 1: 200稀释, 室温孵育1小时. |
|
|
IHC检测CPEB1蛋白(货号 GB114768). 样品: 人肺癌, 4%多聚甲醛 (货号G1101) 固定12-24小时. 抗原修复: 柠檬酸抗原修复液(干粉, pH 6.0) (G1201), 98℃, 20分钟. —抗: 1: 800稀释, 4℃ 孵育过夜. 二抗: HRP标记山羊抗兔IgG (H+L) (货号GB23303), 1: 200稀释, 室温孵育1小时. |
储存
| 储存条件 | 在-20℃下储存一年, 避免反复冻融. |
| 储存缓冲液 | 含0.15% ProClin300防腐剂, 100 μg/mL牛血清白蛋白和50%甘油的磷酸盐缓冲液. |
注意:
1.本产品仅供研究使用.
2.建议用一抗稀释液(G2025)稀释本产品.
| 货号 | 名称 | 规格 | 价格 | 操作 |
|---|
| 货号 | 名称 | 规格 | 价格 | 操作 |
|---|



