
Anti-NOTCH4 Rabbit pAb
- 50 μL
产品信息
|
蛋白质全称 |
Notch同源蛋白4 |
|
别名 |
Notch 4, hNotch4, INT3, Notch 4 extracellular truncation, Notch 4 intracellular domain |
|
Uniprot ID |
P31695 |
|
免疫原 |
KLH偶联的小鼠NOTCH4合成肽 |
|
抗体亚型 |
IgG |
|
纯化方式 |
亲和纯化 |
|
亚细胞定位 |
细胞膜, 细胞核 |
应用
| 应用 | 物种 | 稀释 | 阳性样品 |
| IHC/IF 免疫组织化学/免疫荧光 | 人 | 1: 600-1: 1200 | 结肠癌, 食道, 肝 |
背景
Notch4 is a member of the Notch family. The Notch4 signaling network is an evolutionarily conserved intracellular pathway that regulates physical cell to cell interactions. The Notch4 protein, once cleaved from the trans-Golgi network, is presented on the cell surface as a heterodimer. Notch4 regulates cell-fate determination as a receptor for membrane-bound ligands Jagged1, Jagged2 and Delta1. In Drosophila, once these ligands are activated via the release of the notch intracellular domain (NICD), Notch4 forms a transcriptional activator complex with RBPJ/RBPSUH which then activates the genes of the Enhancer of Split (E(spl)) locus.
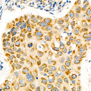
图像
|
|
IHC检测Notch4蛋白(货号 GB111311). 样品: 人结肠癌, 4%多聚甲醛 (货号G1101) 固定12-24小时. 抗原修复: 柠檬酸抗原修复液(干粉, pH 6.0) (G1201), 98℃, 20分钟. —抗: 1: 600稀释, 4℃ 孵育过夜. 二抗: HRP标记山羊抗兔IgG (H+L) (货号GB23303), 1: 200稀释, 室温孵育1小时. |
|
|
IHC检测Notch4蛋白(货号 GB111311). 样品: 人食管, 4%多聚甲醛 (货号G1101) 固定12-24小时. 抗原修复: 柠檬酸抗原修复液(干粉, pH 6.0) (G1201), 98℃, 20分钟. —抗: 1: 600稀释, 4℃ 孵育过夜. 二抗: HRP标记山羊抗兔IgG (H+L) (货号GB23303), 1: 200稀释, 室温孵育1小时. |
|
|
IHC检测Notch4蛋白(货号 GB111311). 样品: 人肝, 4%多聚甲醛 (货号G1101) 固定12-24小时. 抗原修复: 柠檬酸抗原修复液(干粉, pH 6.0) (G1201), 98℃, 20分钟. —抗: 1: 600稀释, 4℃ 孵育过夜. 二抗: HRP标记山羊抗兔IgG (H+L) (货号GB23303), 1: 200稀释, 室温孵育1小时. |
|
|
IHC检测Notch4蛋白(货号 GB111311). 样品: 人肺癌, 4%多聚甲醛 (货号G1101) 固定12-24小时. 抗原修复: 柠檬酸抗原修复液(干粉, pH 6.0) (G1201), 98℃, 20分钟. —抗: 1: 600稀释, 4℃ 孵育过夜. 二抗: HRP标记山羊抗兔IgG (H+L) (货号GB23303), 1: 200稀释, 室温孵育1小时. |
储存
| 储存条件 | 在-20℃下储存一年, 避免反复冻融. |
| 储存缓冲液 | 含0.15% ProClin300防腐剂, 100 μg/mL牛血清白蛋白和50%甘油的磷酸盐缓冲液. |
注意:
1.本产品仅供研究使用.
2.建议用一抗稀释液(G2025)稀释本产品.
| 货号 | 名称 | 规格 | 价格 | 操作 |
|---|
| 货号 | 名称 | 规格 | 价格 | 操作 |
|---|



