
Anti-NPY2R/Y2 receptor Rabbit pAb
- 50 μL
产品信息
|
蛋白质全称 |
神经肽Y受体2型 |
|
别名 |
NPY2-R, NPY-Y2 receptor, Y2 receptor, Npy2r |
|
Uniprot ID |
P49146 |
|
免疫原 |
KLH偶联的人NPY2R合成肽 |
|
抗体亚型 |
IgG |
|
纯化方式 |
亲和纯化 |
|
亚细胞定位 |
细胞膜 |
应用
| 应用 | 物种 | 稀释 | 阳性样品 |
| IHC/IF 免疫组织化学/免疫荧光 | 人 | 1: 300-1: 600 | 食道癌 |
背景
Neuropeptide Y (NPY) receptors are members of a G protein coupled receptor superfamily and they mediate a variety of physiological responses including feeding and vasoconstriction. The endogenous ligands of NPY receptors are a family of structurally related peptides, including NPY, peptide YY (PYY), and pancreatic polypeptide (PP). Increased activity of NPY and its receptors, Y1R, Y2R, and Y5R has been found in the brain in many forms of experimental obesity.
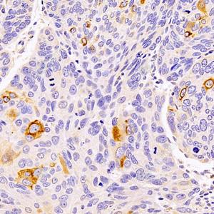
图像
|
|
IHC检测NPY2R/Y2 receptor蛋白(货号 GB112534). 样品: 人食管癌, 4%多聚甲醛 (货号G1101) 固定12-24小时. 抗原修复: 柠檬酸抗原修复液(干粉, pH 6.0) (G1201), 98℃, 20分钟. —抗: 1: 300稀释, 4℃ 孵育过夜. 二抗: HRP标记山羊抗兔IgG (H+L) (货号GB23303), 1: 200稀释, 室温孵育1小时. |
储存
| 储存条件 | 在-20℃下储存一年, 避免反复冻融. |
| 储存缓冲液 | 含0.15% ProClin300防腐剂, 100 μg/mL牛血清白蛋白和50%甘油的磷酸盐缓冲液. |
注意:
1.本产品仅供研究使用.
2.建议用一抗稀释液(G2025)稀释本产品.
| 货号 | 名称 | 规格 | 价格 | 操作 |
|---|
| 货号 | 名称 | 规格 | 价格 | 操作 |
|---|
