全国400热线:400-8252586

Product Image

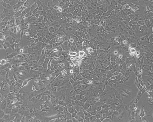
人肺腺癌细胞(NCI-H1975)培养基套装

¥1200
货号:YTCC10215G
品牌:YIKE
规格:
数量:


产品信息

推荐 NCI-H1975细胞专用培养基 (GZ10204-500ML),该专用培养基经过多级优化,更适合细胞的培养!

Component Number

Component

STCC10204P

STCC10204G

GZ10204

NCI-H1975细胞专用培养基

125 mL

125 mL

STCC10204P-1

NCI-H1975

人肺腺癌细胞

1×106cells/T25培养瓶

STCC10204G-1

NCI-H1975

人肺腺癌细胞

1×106cells/冻存管×2


产品简介


细胞名称:

NCI-H1975:人肺腺癌细胞

种属来源:

组织来源:

女性肺

简介:

NCI-H1975细胞是于1988年7月从一名女性(无抽烟史)非小细胞肺腺癌组织中分离得到的。

细胞形态:

上皮细胞样

生长特性:

贴壁生长

生物安全等级:

1级

推荐传代比例:

0.25%含EDTA胰酶,37℃干消化2min,1:3传代,3天长满,

推荐换液频率:

2-3次/周

生长培养基:

RPMI-1640+10 %FBS+1 %P/S;(推荐NCI-H1975细胞专用培养基 (GZ10204-500ML),经过多级优化,更适合该细胞的培养!)

培养条件:

温度:37 ℃;CO2:5 %

冻存条件:


选用无血清无蛋白非程序细胞冻存液(含DMSO,透亮色)【G1709-100ML】,直接转-80度冰箱隔天后液氮保存 或者 FBS 90%+DMSO 10%(乳黄色),程序降温盒转-80度冰箱隔天后液氮保存

(细胞复苏时切记培养基稀释后再离心!!!)


RPMI-1640中的RPMI是Roswell Park Memorial Institute的缩写,代表洛维斯帕克纪念研究所,RPMI-1640是该研究所研发的一种细胞培养基。该培养基最初是为淋巴细胞培养专门设计的,目前已广泛应用于各种正常细胞和癌细胞的培养,尤其是悬浮细胞的培养,是使用最为广泛的培养基之一,本产品含多类细胞培养所需的氨基酸、维生素、无机盐等成分,不含蛋白质或生长因子,需根据细胞种类添加5-10%血清或无血清添加物使用。

胎牛血清是细胞培养中用量最大的天然培养基,含有丰富的细胞生长必须的营养成份,常用于动物细胞的体外培养,具有极为重要的功能。本产品为优级胎牛血清,已经过热灭活处理及过滤除菌,使用前无需进行热灭活,低温缓慢解冻后即可使用。


图片展示




STR鉴定

STR位点信息:

D5S818

11,12

FGA

21,24

D13S317

10,13

D2S1338

17

D7S820

8,11

D21S11

28

D16S539

9,12

D18S51

13

VWA

18

D8S1179

13,16

TH01

7

D3S1358

14,15

AMEL

X

D6S1043

12

TPOX

8,11

PENTAE

12,16

CSF1PO

12

D19S433

15,15.2

D12S391

17

PENTAD

12,13


储存运输

细胞:T25培养瓶常温运输;冻存管干冰运输,液氮保存。

培养基:常温运输,2-8 ℃保存,有效期12个月。


注意事项

1.优先推荐复苏细胞,7-8月复苏细胞加冰袋发货,12-2月复苏细胞加暖宝宝发货。

2.收到T25培养瓶寄送的细胞时,请及时检查外包装是否完好,细胞培养瓶是否损坏、漏液,培养基是否浑浊,如有请尽快联系。

3.收到冻存管寄送的细胞时,请及时查看泡沫盒内是否还有干冰,冻存管内细胞是否是冻存状态,如无特殊情况请及时解冻复苏培养。

4.细胞复苏、培养、传代等步骤及注意事项请参考细胞说明书。

5.请严格执行无菌操作,避免污染。


本产品仅供科研用途,不用于临床诊断!


相关产品

注意事项

  • 请在保质期内使用本产品
  • 请存放于阴凉干燥处,避免阳光直射
  • 使用前请仔细阅读产品说明书
  • 如有不适,请立即停止使用并咨询专业人士
服务推荐
货号名称规格价格操作
产品推荐
货号名称规格价格操作
广州一科生物科技有限公司
广州一科生物科技有限公司
电话:400-8252586
邮箱:weikexie@163.com
地址:广州市白云区白灰场南路润祥大厦B栋707
粤ICP备19145173号-1版权所有 All rights reserved 广州市一科生物科技有限公司
本公司产品仅供体外研究使用,不用于临床诊断!
  • 我的收藏
  • 咨询客服

    请填写您的信息,我们会尽快安排对应人员与您联系!

    单位名称:
    您的姓名:
    联系电话:
    咨询内容:
  • 联系电话

    客服电话:

    400-8252586

  • 返回顶部